فرنکتومی چیست ؟
فرنکتومی یک عمل جراحی دهان است که به درمان بند اصافی لب یا زبان میپردازد. ممکن است برای افزایش دامنه حرکتی زبان یا کمک به بستن فاصله بین دو دندان استفاده شود. فرنکتومی یک درمان ساده است که طیف گسترده ای از مزایا را ارائه می دهد.
فرنکتومی چیست؟

فرنکتومی یک روش جراحی دهان است که بند ( فرنوم) لب یا زبان را درمان می کند. در طول این عمل، جراح شما یک فرنوم (که فرنولوم نیز نامیده میشود) نواری از بافت همبند که دو ناحیه را به هم میپیوندد، بریده یا تغییر میدهد. در دهان شما، فرنوم ها می توانند لب های شما را به لثه ها یا زبان شما را به کف دهان شما متصل کند.
شما چندین فرنوم در دهان خود دارید. بیشتر اوقات، آنها هیچ مشکلی ایجاد نمی کنند. با این حال، اگر فرنوم خیلی کوتاه یا خیلی تنگ باشد، میتواند باعث مشکلات سلامت دهان شود و ممکن است تأثیر منفی بر گفتار داشته باشد. در نوزادان، می تواند مشکلاتی در شیردهی (شیردهی) و بلع ایجاد کند.
چه کسانی به فرنکتومی نیاز دارند؟
اغلب اوقات، فرنکتومی بر روی نوزادانی انجام می شود که مشکل تغذیه دارند یا در صورت وجود نگرانی در گفتار وجود دارد. اما گاهی اوقات، فرنکتومی برای بزرگسالان نیز ضروری است. به عنوان مثال، گاهی اوقات فرنوم می تواند آنقدر سفت باشد که لثه های شما را از دندان هایتان دور کند و باعث عقب نشینی لثه گردد . فرنکتومی باند بافت همبند را آزاد می کند و خطر ایجاد شکاف، تحلیل لثه و سایر مشکلات سلامت دهان را کاهش می دهد.
هدف از فرنکتومی چیست؟

دلایل زیادی وجود دارد که چرا شما یا فرزندتان ممکن است به فرنکتومی نیاز داشته باشید. دندانپزشکی شما ممکن است این روش را برای اصلاح فرنومی که باعث ایجاد موارد زیر می شود توصیه کند:
- بند لب که حرکت لب را محدود می کند.
- بند زبان، که دامنه حرکت زبان شما را محدود می کند.
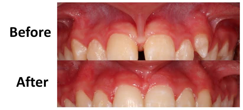
- دیاستما (فاصله بین دندان های شما) که ممکن است از نظر زیبایی دندان و اصلاح طرح لبخند برای برخی افراد ناخوشایند باشد.
- تحلیل رفتن لثه، که می تواند منجر به عفونت لثه، پوسیدگی و تحرک شود.
- درد، تورم یا حساسیت دندان با مسواک زدن یا مراقبت از دهان.
- تحلیل لثه مجاور ایمپلنت دندان
انواع فرنکتومی چیست؟
دو نوع اصلی فرنکتومی دهان وجود دارد:
- فرنکتومی لینگوال: این روش نوار بافتی را که قسمت زیرین زبان شما را به کف دهان وصل می کند برداشته یا اصلاح می کند. فرنکتومی لینگوال برای اصلاح گره های زبان استفاده می شود.
- فرنکتومی لبی: گاهی اوقات فرنکتومی فک بالا نامیده می شود، این روش نوار بافتی را که لثه بالایی شما را به دندان های جلویی متصل می کند، از بین می برد. فرنکتومی لبی برای اصلاح فرم لب ها استفاده می شود. توجه به این نکته مهم است که فرنکتومی لبی را می توان بر روی لب پایین نیز انجام داد – اما فرنکتومی لب بالایی رایج تر است.
چه زمانی باید فرنکتومی انجام شود؟

بستگی به موقعیت دارد. نوزادان فقط چند هفته پس از زایمان می توانند به سرعت و با کمی ناراحتی فرنکتومی انجام دهند. دندانپزشک کودکان می تواند به تعیین بهترین زمان برای فرنکتومی کودک شما کمک کند. در بزرگسالان نیز دندانپزشک به دلایل مختلفی ممکن است لزوم انجام فرنکتومی را برای شما تشخیص دهد .
جراحی فرنکتومی چگونه است؟
در نوزادان، فرنوم با استفاده از قیچی برداشته می شود. معمولاً این سریع است و چند دقیقه طول می کشد. در کودکان بزرگتر و بزرگسالان، دندانپزشک شما ممکن است بافت اطراف فرنوم را با بی حسی موضعی بی حس کند. هنگامی که بیحس شدید،دندانپزشک فرنوم شما را با استفاده از چاقوی جراحی یا قیچی جراحی برمی دارند یا اصلاح می کنند. در برخی موارد، بخیه برای بستن برش ممکن است لازم باشد. به طور معمول، این روش 30 دقیقه یا کمتر طول می کشد.
بعد از این روش چه اتفاقی می افتد؟
پس از فرنکتومی،دندانپزشک دستورالعمل های دقیق بعد از عمل را به شما ارائه می دهد. در نوزادان معمولاً مراقبت بیشتری لازم نیست و می توانند بلافاصله تغذیه را از سر بگیرند. ممکن است برای مدیریت هر گونه ناراحتی به مسکن نیاز داشته باشید و ممکن است نیاز به استفاده از دهان شویه آنتی باکتریال داشته باشید. دندانپزشک شما ممکن است بخواهد یک یا دو هفته دیگر شما را ببیند تا روند بهبودی را کنترل کند.
فرنکتومی با لیزر چیست؟
فرنکتومی لیزری اساساً همان روش فرنکتومی سنتی دهان است. تنها تفاوت این است که در این روش از لیزر دندان استفاده می شود که خطر عفونت و از دست دادن خون را به حداقل می رساند.
مزایای فرنکتومی با لیزر
هر فردی نیازی به اصلاح لب و زبان ندارد. گاهی اوقات فقط زبان با فرنوم بسته می شود . گاهی اوقات فقط اتصال لب بالا با فرنوم شدید است . گاهی اوقات فرنوم لب پایین باعث تحلیل لثه شده و گاهی اوقات همه این موارد باهم در یک فرد دیده می شوند.
دندانپزشک شما ارزیابی کامل آناتومی، عملکرد، ظاهر و حرکت زبان و لب انجام میدهند . گزینههای درمانی، مزایا و معایب را بررسی میکنند . به شما اطلاع میدهند که آیا فرنکتومی مفید است یا خیر. برخی از مزایای استفاده از لیزر برای فرنکتومی در مقایسه با سایر روش ها عبارتند از:
- زمان درمان کوتاه (معمولا ۵ تا ۱۰ دقیقه)
- بدون خونریزی
- بدون نیاز به بخیه، بیهوشی عمومی یا آرامبخش
- بهبودی سریع و بهبودی
- حداقل درد یا ناراحتی
- حداقل شانس برای پیوست مجدد
- کم تهاجمی
- بلافاصله پس از عمل می توان اقدام به تغذیه کرد
مزایای این روش چیست؟
جراحی فرنکتومی مزایای زیادی دارد. به عنوان مثال، این روش می تواند:
- بهبود مشکلات شیردهی در نوزادان
- بهبود مشکلات گفتاری ناشی از بستن زبان
- خطر پوسیدگی دندان، بیماری لثه و سایر مشکلات سلامت دهان را کاهش دهید.
- با از بین بردن فاصله دندان جلو لبخند خود را تقویت کنید.
خطرات یا عوارض فرنکتومی با تیغ جراحی چیست؟
مانند همه روشهای جراحی دندان، فرنکتومی با خطرات و عوارض احتمالی همراه است. خطرات جراحی فرنکتومی عبارتند از:
- خون ریزی
- عفونت
- آسیب مجاری بزاقی که در نزدیکی
- درد
- تورم
- واکنش آلرژیک به بیهوشی. اتصال مجدد فرنوم (نادر).
سوالات متداول فرنکتومی
فرنکتومی بسته به روشی که انجام میگیرد ( با تیغ جراحی یا لیزر ) عوارض یا مزایایی دارند . همچنین این دو روش دوره نقاهت متفاوتی را نیز بهمراه دارند .
چه مدت طول می کشد تا پس از فرنکتومی بهبود پیدا کنید؟
در نوزادان، بهبودی سریع است و نوزادان معمولاً بدون مشکل بلافاصله تغذیه می کنند. در کودکان و بزرگسالان، بهبودی پس از فرنکتومی با تیغ جراحی معمولاً حدود سه تا پنج روز طول می کشد.در فرنکتومی با لیزر یوره بهبودی بسیار سریعتر است . دندانپزشک به شما دستورالعمل هایی را برای مدیریت هر گونه ناراحتی در مرحله بهبودی ارائه می دهد.
چه زمانی می توانم به محل کار یا مدرسه برگردم؟
پس از عمل فرنکتومی، اکثر افراد می توانند پس از یک روز به سر کار، مدرسه و سایر برنامه های معمول خود برگردند.
چه زمانی می توانم بخورم یا بنوشم؟
شما می توانید بلافاصله پس از عمل، مایعات را بنوشید. برای غذا خوردن باید صبر کنید تا بی حسی از بین برود. در چند روز اول از غذاهای نرم استفاده کنید، سپس به تدریج غذاهای جامد بیشتری را امتحان کنید تا راحت تر شوید. بهتر است تا مدتی از مصرف غذاهای تند و ترش و داغ پرهیز نمایید .
هزینه فرنکتومی چقدر است؟
هزینه رقم ثابتی نیست و به عوامل زیر بستگی دارد :
- سن فرد
- تعداد فرنوم ها
- موقعیت فرنوم
- روش جراحی : با تیغ یا لیزر
نتیجه گیری
اگر شما یا فرزندتان فرنوم لب یا زبانی دارید که با عملکرد یا کیفیت زندگی تداخل دارد، با دندانپزشک خود صحبت کنید تا تشخیص دهد آیا فرنکتومی برای شما مناسب است یا خیر. جراحی فرنکتومی یک روش سریع و ساده است که می تواند طیف وسیعی از مسائل را برطرف کند. خطرات و عوارض حداقل هستند – و در بیشتر موارد، جراحی فرنکتومی به سرعت تکمیل می شود.
The post فرنکتومی چیست ؟ appeared first on کلینیک تخصصی دندانپزشکی Dencare.
from کلینیک تخصصی دندانپزشکی Dencare https://ift.tt/8vLNoOt
via IFTTT










Comments
Post a Comment