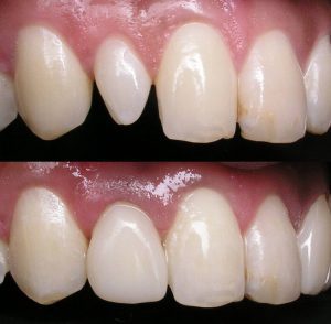
زیبایی لبخند با روکش دندان
روکش ها با پوشاندن آسیب، تغییر رنگ و ناهماهنگی جزئی، سطح جلویی دندان های شما را ترمیم می کنند. در بسیاری از موارد، آنها یک جایگزین عالی برای تاج دندان، درمان های سفید کننده و ارتودنسی هستند. روکش دندان زیبایی لبخند شما را بهبود می بخشد و در عین حال از کیفیت دندان های شما محافظت می کند. بسته به نیاز، ترجیحات و وضعیت دندان های خود، می توانید یک نوع روکش را انتخاب کنید. در شرایط مناسب، آن ها می توانند زیبایی لبخند و ظاهر کلی دندان های فرد را بهبود بخشند و در این فرآیند، عزت نفس او را نیز افزایش دهند. در این خصوص می توانید به کلینیک فوق تخصصی دندانپزشکی Dencare مراجعه کنید.
روش های خلق زیبایی لبخند

روکش های دندانی، روشی محبوب برای خلق زیبایی لبخند هستند، به خصوص اگر دندان های فرسوده، تراشیده، دارای فاصله بین آن ها و تغییر رنگ یافته باشند. آنها همچنین برای افرادی که به دنبال لبخندی هماهنگ و طبیعی با دندان های زیبا و خوش فرم هستند، مورد استفاده قرار می گیرند.
لمینت دندان دارای ظاهری شفاف هستند که ماده ای قوی و بادوام را تشکیل می دهند تا بتوانند به عنوان مینای دندان طبیعی استفاده شوند. بر خلاف روکشی که کل دندان را می پوشاند، این روکش دندان ، اساساً یک پوشش نازک یا پوسته است که روی قسمت جلویی دندان طبیعی شما قرار می گیرد تا ظاهری ثابت و زیبایی لبخند داشته باشید.
هر روکش دندان ، به صورت جداگانه برای تنظیم ظاهر، رنگ، شکل، اندازه، موقعیت، چرخش، بافت یا ظاهر دندانهای طراحی شده است. روکش را می توان برای ترمیم یک یا چندین دندان استفاده کرد و زمانی ایده آل است که دندان ها نیاز به ترمیم قابل توجهی نداشته باشند.
با این حال، روکش دندان می تواند به عنوان بخشی از یک برنامه درمانی استفاده شود که شامل روش های دیگری مانند روکش های سرامیکی ، بریج دندان و ایمپلنت دندان نیز می شود. این یک گزینه خوب برای افرادی است که انواع مختلفی از روش های دندانپزشکی را در لبخند خود دارند، اما مایلند زیبایی لبخند یکنواخت تری با دندان های همسان داشته باشند.
استفاده از روکش دندان در زیبایی لبخند

روکش دندان به عنوان پوشش دندان ، می توانند گزینه خوبی برای افرادی باشند که تغییر رنگ دندان با روش های سنتی سفید کردن دندان ، قابل درمان نیست. همچنین در خصوص افرادی با دندان های فرسوده، دندان هایی با آسیب های جزئی، نامرتبی دندان ها، دندان های ناهموار یا فاصله های جزئی بین دندان ها مناسب است.
اگر می خواهید زیبایی لبخند خود را تغییر دهید، روکش دندان ممکن است بهترین راه برای رسیدن به لبخندی بی نقص باشند. در طول اولین قرار ملاقات، دندانپزشک شما در مورد جوانب مثبت و منفی روکش ها صحبت می کند و توضیح می دهد که آیا آنها گزینه مناسبی برای شما هستند یا خیر.
انواع روشهای زیبایی لبخند

بسیاری از مردم نمی دانند که گزینه های زیادی برای زیبایی لبخند وجود دارد. تکنیک و برندهای متفاوتی از روکش های دندان و لمینت دندان به وجود آمده اند که هر یک ظاهر منحصر به فردی را به خود اختصاص می دهند. در این جا به برخی از آن ها پرداخت می شود.
ونیرهای کامپوزیت دندان
ونیرهای رزین کامپوزیت، یک ترمیم دندان با روکش ارزان هستند که می توان آن را در یک بار مراجعه به دندانپزشک اعمال کرد. آنها معمولاً از رزین یا پلاستیک ساخته می شوند و در صورت شکستگی به راحتی قابل تعمیر هستند و تا هفت سال عمر می کنند.
این فرآیند در زیبایی لبخند شامل اعمال لایههای کامپوزیت روی دندان می شود تا لایه ها به شکل و طول دلخواه شما فرم دهی شوند. هنگامی که هر لایه از طریق نور سخت شد، کامپوزیت پولیش می شود. هر چقدر هم که این نوع روکش دلپذیر به نظر می رسد، اما آنها را به راحتی خرد، شکسته یا لکه دار می شوند.
روکش های کامپوزیت برای کسانی که ونیرهای سریع و مقرون به صرفه را به جای پرسلن می خواهند بسیار عالی هستند. اما، آنها برای کسانی که می خواهند از مراجعه به دندانپزشک برای تعمیر اجتناب کنند، چندان خوب نیستند. این روش زیبایی لبخند معمولاً به عنوان راه حل های سریع برای موارد کوچکتری مانند لب پر شدن یا تغییر رنگ دندان ها نیز دیده می شوند. قیمت کامپوزیت دندان را برای زیبایی لبخند از کلینیک فوق تخصصی دندانپزشکی Dencare دریافت کنید.
لمینت دندان سه چهارم

این نوع خاص از لمینت های دندانی، به دلیل تمرکز روی سطوح بین دندان ها کمی متفاوت هستند. به جای اینکه روی سطح جلویی دندان ها قرار گیرند، روی سطوح کناری دندانها نیز واقع می شوند. سطح کناری دندان ها را با تقویت آنها از پشت به جای پوشاندن سطوح جلوی آنها زیبایی لبخند را بهبود می بخشد. لمینت دندان سه چهارم که اغلب از نوع IPS ساخته میشوند، اما به صورت سرامیکی یا کامپوزیتی نیز موجود هستند.
لومینیر ها در زیبایی لبخند
لومینیرز یک برند از انواع لمینت دندان است. این نوع از لمینت ها، با لایه ای نازک از مواد لیتیوم دی سیلیکات ساخته می شوند و پیش از قرار دادن روی دندان ها، نیاز به حداقل آماده سازی دارند. بر خلاف ونیرهای سرامیکی، مقدار بسیار کمی از ساختار طبیعی دندان، قبل از قرار دادن لومینیر روی مینای دندان برداشته می شود.
لومینیرها به طور معمول، برای درمان دندان های تغییر رنگ یافته و نامنظم استفاده می شوند. آنها صاف هستند، بنابراین طبیعی به نظر می رسند. اما باید در نظر داشت که این نوع از لمینت دندان ، برگشت پذیر هستند و در مقایسه با روکش های سنتی، طول عمر کمتر و ظاهر طبیعی بهتری دارند. ضمن آنکه بیشتر مستعد شکستگی و آسیب می باشند ولی زیبایی لبخند فوق العاده ای به فرد می دهند.
هزینه درمان زیبایی لبخند
در حالت کلی باید گفت که دو نوع روش زیبایی لبخند در اقدامات دندانپزشکی وجود دارد که پرسلن و کامپوزیت رزین را شامل می شوند. این مواد، در دسته های مختلفی از انواع روکش همچون روکش زیرکونیا، لومینیرها و روکش های رزینی مورد استفاده قرار می گیرند. انتخاب روکش به بودجه، سطح راحتی، وضعیت دندان و غیره بستگی دارد.
ما در کلینیک فوق تخصصی دندانپزشکی Dencare سعی خواهیم کرد با اطلاعات دقیق در مورد انواع مختلف روشهای زیبایی لبخند و دندان برای لبخند شما، روند انتخاب بهترین گزینه را برای شما آسانتر کنیم. در این کلینیک لیست کاملی از انواع روکش ها و لمینت ها آورده شد تا هنگام تصمیم گیری در مورد روش زیبایی دندان، گزینه مورد نظر خود را بیابید. همچنین می توانید قیمت هریک را را نیز در این کلینیک به هنگام معاینه دریافت کنید.
The post زیبایی لبخند با روکش دندان appeared first on کلینیک تخصصی دندانپزشکی Dencare.
from کلینیک تخصصی دندانپزشکی Dencare https://ift.tt/lkuNjnH
via IFTTT
Comments
Post a Comment