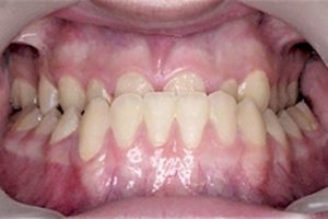
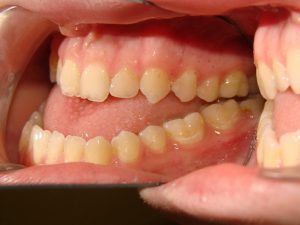
آندربایت چیست و چگونه درمان می شود ؟
آندربایت اصطلاحی برای یک مشکل دندانی است که مشخصه آن دندان های پایینی می باشد که بیشتر از دندان های جلویی بالا به سمت بیرون کشیده می شوند. به این وضعیت مال اکلوژن یا پروگناتیسم کلاس III نیز گفته می شود. این حالت، ظاهری خشن در دهان و صورت ایجاد می کند. برخی از موارد آن میتواند شدید باشد و باعث میشود که دندانهای پایین به سمت جلو کشیده شوند. دلایل بروز آندربایت می تواند متفاوت باشد. می توانید برای درمان با کلینیک فوق تخصصی دندانپزشکی Dencare در ارتباط بوده و از روش های تشخیص آندربایت و درمان آن، بهره مند شوید.
آندربایت چیست؟

آندربایت چیزی بیش از یک موضوع زیبایی است. در حالی که برخی از افراد ممکن است تصمیم بگیرند که با موارد خفیف آن زندگی کنند، موارد شدید ممکن است باعث مشکلات سلامت دهان و نیاز به ارتودنسی شود که از آن جمله می توان به مشکل در گاز گرفتن و جویدن غذا، چالش در صحبت کردن، درد دهان و صورت به دلیل ناهماهنگی فک اشاره کرد.
علل آندربایت

نحوه قرار گرفتن دندان ها و دلایل بروز آندربایت ، ممکن است تحت تأثیر عوامل مختلفی قرار گیرد. به طور معمول، دندان ها به گونه ای رشد می کنند که دندان های بالا کمی روی دندان های پایین قرار گیرند. دندان های آسیاب که دندان های صاف و پهن در پشت دهان هستند، باید بر روی یکدیگر واقع شوند.
چیدمان مناسب دندان ها باعث می شود هنگام غذا خوردن گونه ها، لب ها یا زبان خود را گاز نگیرید. عوامل متعددی وجود دارد که می تواند باعث ایجاد آندربایت در فرد شود. این شامل:
عادات دوران کودکی:
برخی از عادات دوران کودکی ممکن است دلایل بروز آندربایت بوده و خطر ایجاد آندربایت یا سایر ناهماهنگی های دندانی را افزایش دهند. عوامل موثر در آندربایت شامل مکیدن شست، فشار دادن دندان ها با زبان، استفاده از پستانک در کودکان بالای 3 سال، تغذیه طولانی مدت از شیشه شیر بیش از سال های شیرخوارگی می شود.
ژنتیک:
هنگام بررسی روش های تشخیص آندربایت ، باید گفت که این بیماری اغلب، ارثی است. اگر حداقل یکی دیگر از افراد خانواده شما نیز به آندربایت مبتلا باشد، احتمال ابتلا به آن بیشتر خواهد بود. ژنتیک همچنین شکل و اندازه فک و دندان فرد را تعیین می کند.
ممکن است فردی با دندان هایی بسیار نزدیک به هم، نهفته، شکل غیرعادی یا عدم تناسب در بدو تولد باشد. این احتمال وجود دارد که نقایصی همچون شکاف لب در روزهای نخستین تولد ظاهر شود. همه این شرایط گاهی اوقات می تواند منجر به مال اکلوژن شود یا از دلایل بروز آندربایت باشد.
جراحت:
هنگامی که صدمات شدیدی به صورت وارد می شود، می تواند آسیب دائمی به استخوان فک را ایجاد کند. اغلب، ترمیم استخوان های شکسته فک امکان پذیر است، اما فک ها، همیشه پس از ترمیم مجدد با جراحی به درستی روی هم قرار نمیگیرند. این می تواند باعث آندربایت شود.
تومورها:
تومورهای روی استخوان فک یا در دهان ممکن است باعث بیرون زدگی فک ها شده و از دلایل بروز آندربایت باشد.
درمان و روش های تشخیص آندربایت

اکثر مردم با دندان های کاملاً هم تراز زندگی نمی کنند. معمولاً دندان هایی که کمی نامرتب هستند نیازی به درمان پزشکی ندارند. با این حال، اصلاح آن و روش های تشخیص آندربایت، به خصوص زمانی که شدید باشد، می تواند مزایای زیادی داشته باشد.
در این شرایط، تمیز کردن دندان ها آسان تر خواهد شد. ضمن آنکه احتمال پوسیدگی دندان و بیماری لثه، بسیار کاهش می یابد. همچنین فشار کمتری بر روی دندانها، فکها و عضلات صورت خود احساس خواهید کرد. این می تواند خطر شکستن دندان و همچنین علائم دردناک اختلالات گیجگاهی فکی را که در دلایل بروز آندربایت وجود دارد، کاهش دهد.
برخی از درمان های رایج برای آندربایت عبارتند از:
درمان در منزل:
مسواک زدن و نخ دندان کشیدن به طور منظم علاوه بر مراجعه به دندانپزشک برای معاینه و جرم گیری دندان، بخش مهمی از درمان دندان های سالم است. اما کسانی که دچار آندربایت یا سایر مشکلات دندانی هستند باید مراقب دندان های خود باشند تا از آسیب و پوسیدگی بیشتر جلوگیری کنند.
برای جلوگیری از بروز عوارض این مشکل ، دندان های خود را حداقل دو بار در روز به مدت دو دقیقه با خمیر دندان حاوی فلوراید مسواک بزنید. به مسواک زدن در امتداد خط لثه و در داخل، خارج و پشت دهان خود توجه کنید. همزمان با مسواک زدن منظم، از نخ دندان نیز باید استفاده شود.
درمان پزشکی:
درمان پزشکی تنها راه برای اصلاح واقعی آندربایت و تراز صحیح دندان ها است. حداقل، درمان پزشکی می تواند ظاهر آندربایت را بهبود بخشد. استفاده از روش های تشخیص آندربایت ، می تواند در درمان سریع تر کمک نماید.
در موارد خفیف از دلایل بروز آندربایت ، دندانپزشک ممکن است بتواند از ارتودنسی ثابت و ارتودنسی نامرئی یا سایر وسایل دندانپزشکی برای حرکت دادن دندان ها به محل صحیح خود استفاده کند. کشیدن یک یا چند دندان در فک پایین نیز ممکن است به بهبود ظاهر آن کمک کند، اگر ازدحام بیش از حد دندان ها به این مشکل کمک کند.
دندانپزشک همچنین ممکن است از یک دستگاه برای تراشیدن یا صاف کردن دندان های بزرگ یا بیرون زده استفاده کند. در موارد شدیدتر این مشکل ، دندانپزشک ممکن است جراحی را برای اصلاح وضعیت توصیه کند.
درمان زودهنگام در کودکان
هرچه زودتر به آندربایت رسیدگی شود، بهتر است. اگر این مشکل کودک شدیدتر باشد، والدین باید حداقل تا سن 7 سالگی منتظر بمانند تا به دنبال درمان اصلاحی مانند بریس باشند. این زمانی است که دندان های دائمی شروع به رویش می کنند.
برای اصلاح کوتاهمدت دلایل بروز آندربایت ، یک مطالعه کوچک نشان میدهد که دستگاههای ماسک صورت یا توین بلاک میتوانند به راحتی دندانهای جلویی پایین در جای خود در کودکان کمک کنند. اما آنها همچنان به یک راه حل دائمی تر در آینده نیاز دارند. اگر کودک شما دچار آندربایت شدید است، به خصوص اگر ناشی از نقص مادرزادی مانند شکاف لب باشد، جراحی زود هنگام ممکن است کمک کند.
جراحی آندربایت
اکثر جراحان دهان خبره قادر به تصحیح آندربایت هستند. چندین نوع جراحی رایج برای اصلاح این مشکلوجود دارد که شامل تغییر شکل برای بلند کردن فک بالا یا کوتاه کردن فک پایین است. در برخی موارد، استفاده از سیم، صفحه یا پیچ ممکن است شکل مناسب استخوان فک را حفظ کند.
جراحی با خطرات متعددی همراه است، از جمله خطرات مرتبط با بیهوشی عمومی، عفونت، مشکلات خونریزی و زخم را در بر دارد. می توانید برای استفاده از روش های تشخیص و درمان کامل و تخصصی و زودهنگام آن، به کلینیک فوق تخصصی دندانپزشکی Dencare مراجعه نمایید و دلایل بروز آندربایت را از میان بردارید.
The post آندربایت چیست و چگونه درمان می شود ؟ appeared first on کلینیک تخصصی دندانپزشکی Dencare.
from کلینیک تخصصی دندانپزشکی Dencare https://ift.tt/Fy36eZO
via IFTTT
Comments
Post a Comment