اپن بایت چیست و چرا بوجود می آید ؟
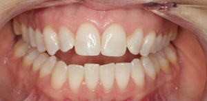
اپن بایت ، از جمله مسائل رایج دندان است که به درمان ارتودنسی نیاز دارد. این عارضه یکی از انواع مال اکلوژن محسوب می شود. این هنگامی است که دندان های پایین و بالا با هم برخورد نداشته و در زمان بسته شدن کامل دهان، شکافی میان بخش بالایی و پایینی دندان ها نشان داده می شود، این عارضه به طور معمول در بخش جلویی دهان اتفاق می افتد اما می توان در قسمت پشتی دندان ها نیز، شاهد اپن بایت بود.
اپن بایت چیست؟

اپن بایت زمانی اتفاق می افتد که دندان های بالا و پایین در جلو یا عقب دهان، با بسته بودن کامل فک، تماس نداشته باشند و بین آن ها فاصله ایجاد شود. در این حالت، مسائل دندانی ایجاد می شود که باعث می شود دندان ها به طور نامناسب قرار گرفته و مشکلاتی در هنگام گاز گرفتن و مسائل مرتبط دیگر از جمله درد، مسائل بهداشت دهان و دندان و پوسیدگی و التهاب لثه را ایجاد نماید.
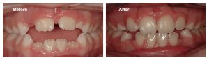
درمان Open Bite می تواند پیچیده باشد، اما یک متخصص ارتودنسی ماهر و دارای مجوز می تواند این وضعیت را با انواع روش ارتودنسی و انواع درمان ارتودنسی نامرئی اصلاح کند. اگر اپن بایت دارید، به کلینیک فوق تخصصی دندانپزشکی Dencare مراجعه کنید تا اصلاح این عارضه انجام شده و لبخندی سالم و بایت مناسب به شما بدهد.
علل اپن بایت

اپن بایت نوعی مال اکلوژن است، به این معنی که وقتی فک ها بسته هستند، دندان ها به درستی در یک راستا قرار نمی گیرند که در درجه اول توسط چهار عامل ایجاد می شود:
مکیدن شست یا پستانک:
هنگامی که شخصی شست یا پستانک خود را می مکد یا یک جسم خارجی دیگر مانند مداد را در دهان دارد، ردیف دندان های خود را تحت فشار قرار می دهد. این می تواند باعث ایجاد اپن بایت شود.
فشار دادن زبان:
از سویی دیگر، این عارضه ممکن است زمانی رخ دهد که فرد هنگام صحبت یا قورت دادن، زبان خود را بین دندان های جلویی بالا و پایین فشار دهد. این همچنین می تواند فاصله بین دندان ها را ایجاد کند.
اختلال مفصل گیجگاهی فکی (TMD یا TMJ):
اختلالات مفصل فک باعث درد مزمن فک می شود. گاهی اوقات افراد از زبان خود برای باز کردن دندان های خود استفاده می کنند و به راحتی فک خود را تغییر می دهند که می تواند باعث اپن بایت شود.
مشکل اسکلتی:
این زمانی اتفاق می افتد که فک های شما از هم جدا می شوند، برخلاف رشد موازی با یکدیگر و اغلب تحت تأثیر ژنتیک، این امر اتفاق می افتد.
درمان اپن بایت

درمان های زیادی در خصوص درمان اپن بایت در دسترس است. دندانپزشک توصیه های خاصی را بر اساس سن فرد و داشتن دندان های بزرگسال یا دندان شیری انجام می دهد. روش های درمانی عبارتند از:
- اصلاح رفتار
- عمل جراحی
- درمان مکانیکی، مانند بریس یا اینویزیلاین
هنگامی که اپن بایت در کودکانی که هنوز بیشتر دندان های شیری خود را دارند رخ میدهد، می تواند به خودی خود برطرف شود، زیرا علت باعث شدن آن در دوران کودکی به طور معمول مکیدن شست یا پستانک است که در موعد مقرر، متوقف می شود.
اگر open bite زمانی رخ دهد که دندان های بزرگسال جایگزین دندان های شیری می شوند، اما به طور کامل رشد نکرده اند، اصلاح رفتار ممکن است بهترین اقدام باشد. این ممکن است شامل درمان برای اصلاح فشار زبان باشد. اگر دندان های بالغ به همان الگوی اپن بایت دندان های شیری رشد میک نند، متخصص ارتودنسی ممکن است استفاده از پلاک ارتودنسی برای عقب کشیدن دندان ها را توصیه کند.
برای افرادی که دندان های بزرگسالی آنها کاملا رشد کرده است، اغلب ترکیبی از ارتودنسی ثابت و اصلاح رفتار پیشنهاد می شود. در موارد شدید اپن بایت ، جراحی فک برای تغییر موقعیت فک بالا با صفحات و پیچ ممکن است توصیه شود. سایر درمان ها شامل استفاده از دستگاه غلتکی برای محدود کردن توانایی زبان برای فشار دادن به دندانهای جلویی و استفاده از هدگیر است که جهت وارد کردن فشار به فکها در موقعیت صحیح جهت رشد مناسب، نیرو اعمال میکند.
چرا اپن بایت را درمان کنیم؟
عوارض جانبی اپن بایت از نگرانی های زیبایی لبخند تا شکستن دندان ها متغیر است:
- زیبایی شناسی: فردی که اپن بایت دارد ممکن است از ظاهر دندان های خود ناراضی باشد، زیرا به نظر می رسد که دندان هایش بیرون زده است.
- سخن گفتن: این عارضه بایت می تواند در گفتار و تلفظ اختلال ایجاد کند.
- غذا خوردن: این می تواند مانع از گاز گرفتن و جویدن صحیح غذا شود.
- سایش دندان: از آنجایی که دندان های عقب بیشتر به هم می رسند، سایش می تواند منجر به ناراحتی و سایر مشکلات دندانی از جمله شکستگی دندان ها شود.
اگر هر یک از این عوارض جانبی را در اثر open bite تجربه کردید، با دندانپزشک یا متخصص ارتودنسی در کلینیک فوق تخصصی دندانپزشکی Dencare مشورت کرده و درمان مناسب را انتخاب کنید. توجه به این نکته اهمیت دارد که اپن بایت در هر سنی قابل درمان است، اما زمانی که دندان های بالغ به طور کامل رشد نکرده باشند، درمان آن بسیار ساده تر بوده و درد کمتری دارد.
کودکانی که دارای این عارضه هستند باید در حین حفظ برخی از دندان های شیری، در حدود 7 سالگی، ارزیابی دندانپزشکی کودکان داشته باشند. این سن مناسبی برای شروع برخی روش ها، از جمله اصلاح رفتار، برای جلوگیری از اپن بایت در حین رشد این کودکان است.
علائم اپن بایت چیست؟

قابل توجه ترین علامت Open Bite ، ناتوانی در بستن کامل دهان به طوری که دندان های جلو یا عقب شما با بالا و پایین تماس نداشته باشند است. علائم دیگری که ممکن است اپن بایت یا مال اکلوژن دیگری داشته باشید:
- تلفظ کمتر
- لبخند غیر جذاب
- مشکلات گفتاری
- تراز نامناسب دندان ها
- مشکلات جویدن یا بلعیدن
- درد هنگام جویدن یا گاز گرفتن
- مشکل در گاز گرفتن غذا با دندان های جلویی
- ناتوانی در تماس با دندان های بالا و پایین
تشخیص اپن بایت

اگر در مورد بایت خود نگرانی دارید، بسیار مهم است که به یک متخصص ارتودنسی مراجعه کنید تا او دندان های شما را معاینه کند. متخصص ارتودنسی با استفاده از اشعه ایکس و یا تصویربرداری سه بعدی و همچنین معاینه حضوری، تشخیص را ارائه خواهد کرد.
اشعه ایکس به متخصص ارتودنسی اجازه می دهد تا آنچه را که در زیر خط لثه قرار دارد، ببیند تا اپن بایت را بررسی کند و علل آن را مشخص کند. پس از تشخیص، ارتودنتیست گزینه های درمانی شما را بررسی می کند. شما با ایشان، بهترین اقدام را برای درمان مال اکلوژن خاص خود انتخاب خواهید کرد.
توجه به این نکته لازم است که Open Bite میتواند عوارضی برای دندان ها، دهان و سلامت کلی بدن شما ایجاد کند. این می تواند به مرور زمان بدتر شده و مشکلاتی مانند بیماری لثه یا ساییدگی بیش از حد دندان را ایجاد کند.
نحوه درمان اپن بایت
هنگامی که برای معاینه و تشخیص جامع به ارتودنتیست مراجعه می کنید، می توانید در مورد گزینه های درمانی صحبت کنید. متخصصین ارتودنسی در کلینیک فوق تخصصی دندانپزشکی Dencare ، می توانند اپن بایت را با روش های مختلف درمان کنند. آنها یک توصیه حرفه ای بر اساس تشخیص و نیازهای خاص شما ارائه می دهند.
The post اپن بایت چیست و چرا بوجود می آید ؟ appeared first on کلینیک تخصصی دندانپزشکی Dencare.
from کلینیک تخصصی دندانپزشکی Dencare https://ift.tt/DO9j30a
via IFTTT
Comments
Post a Comment