ارتودنسی لینگوال و نحوه عملکرد آن
شاید دندان های شما آنقدر که می خواهید صاف نباشند. یا آنکه خواهان افزایش اعتماد به نفسی باشید که یک لبخند زیبا به ارمغان می آورد. ممکن است، تصمیم گرفته باشید کاری برای بهبود لبخند خود انجام دهید. اما، به هر دلیلی، نمی خواهید نخواهید یک یا دو سال از ارتودنسی های سنتی استفاده کنید. می توانید برای انجام ارتودنسی لینگوال ، با کلینیک فوق تخصصی دندانپزشکی Dencare همراه باشید.
ارتودنسی لینگوال چیست؟

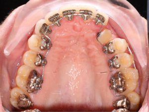
در این نوع از ارتودنسی، بریس ها به جای جلوی دندان در حالت سنتی، در پشت دندان ها، رو به روی زبان و کام قرار می گیرند. این یک جایگزین زیبایی عالی برای کسانی است که می خواهند دندان ها را بدون براکت های فلزی قابل مشاهده صاف کنند.
اردتودنسی لینگوال فواید زیادی دارد. این روش، کمتر قابل رویت بوده و یک نوع ارتودنسی نامرئی است .ارتودنسی لینگوال تمیز کردن راحت تر دندان ها را امکان پذیر می کنند و به راحتی بریس های سنتی شکسته نمی شوند.
این نوع ارتودنسی چطورکار می کنند؟
بریس های لینگوال دقیقاً مانند بریس های سنتی عمل می کنند. آنها از یک ماده تشکیل شده اند و بنابراین، مشکلات دندانی مشابهی را برطرف می کنند. هر شش تا هشت هفته، متخصص ارتودنسی یک قرار ملاقات تعیین کرده و آن ها را تنظیم می کند تا به دندانهای شما کمک نماید در موقعیتهای مناسب خود قرار گیرند.
هنگامی که تصمیم به گرفتن ارتودنسی لینگوال دارید، ارتودنتیست از قالب دندان استفاده می کند یا دندان های شما را اسکن می کند. براکت ها به صورت سفارشی برای دندان های هر بیمار ساخته شده اند و بسته به شدت مشکلات دندانی، باید بین 18 تا 24 ماه از آن استفاده کنید.
ممکن است کاندیدای خوبی برای بریس های زبانی باشید اگر شما می خواهید کمترین میزان قابل مشاهده بودن درمان ارتودنسی را داشته باشید یا آن که مال اکلوژن بزرگ ندارید. این را باید افزود که اوربایت شدید ممکن است جایی برای براکت ها باقی نگذارد.
از طرف دیگر، اگر سطح دندان شما به اندازه کافی برای براکت های لینگوال بزرگ است، می توانید برای ارتودنسی لینگوال ، گزینه ای مناسب باشید. کودکان یا بزرگسالان با دندان های کوچک ممکن است کاندیدای ایده آل نباشند. از آنجایی که نصب و تنظیم بریس های لینگوال دشوارتر است، ارتودنتیست ها برای ارائه آنها به بیماران، به آموزش خاصی نیاز دارند. اگر فکر می کنید که بریس های زبانی ممکن است مناسب شما باشند، با متخصصان کلینیک Dencare صحبت کنید.
تصمیم درست
در حال حاضر، تمایل به لبخند زیبا و سالم بسیاری از افراد را انگیزه می دهد تا دندان های خود را با ارتودنسی لینگوال صاف کنند. با این حال، برای بسیاری از افراد، یک مانع مهم برای درمان وجود دارد و آن این است که ظاهر ارتودنسی های معمولی با بریس های فلزی را نمی خواهند.
برای نوجوانان، شاغلین و کسانی که نمی خواهند ظاهری متفاوت را با درمان دندانپزشکی داشته باشند، گزینه های تقریبا نامرئی زیادی در دسترس است که دارای محبوبیت بالایی است. بریس های لینگوال همان اجزای بریس های معمولی را دارند، اما در پشت دندان ها، در سمت زبانی دندان ها ثابت می شوند. از آنجایی که آنها پشت دندان های شما هستند، تقریباً نامرئی خواهند بود.
تنها راه برای اطمینان از اینکه آیا بریس های لینگوال برای شما مناسب هستند یا خیر، مشورت با متخصص ارتودنسی است. به طور کلی، ارتودنسی لینگوال می توانند همان مشکلات همترازی را مانند بریسهای معمولی (باکال) اصلاح کنند.
اما بریس های لینگوال برای همه مناسب نیستند. برای مثال، بیمارانی که دچار اوربایت بسیار عمیق هستند، ممکن است با باز شدن مکرر براکت ها دچار مشکل شوند. در اولین قرار ملاقات، متخصص ارتودنسی، دندان های شما را معاینه میکند و در مورد اینکه کدام گزینههای درمانی برای شما خوب عمل میکنند، صحبت می نماید.
سیم های بریس های معمولی به شکل نعل اسبی یکنواخت خم می شوند، اما برخی از برندهای ارتودنسی لینگوال را می توان به صورت رباتیک خم نمود تا با خطوط دهان بیمار خاص مطابقت داشته باشد. این تناسب سفارشی، می تواند زمان درمان شما را کوتاه کند، اما هزینه دارد.
آیا بریس های لینگوال در گفتار موثر هستند؟
پاسخ کوتاه بله است. وقتی صحبت می کنید، زبان شما پشت دندان هایتان را لمس می کند تا صداهای خاصی تولید کند. از آنجایی که براکت ها در پشت دندان ها قرار دارند، هنگام استفاده از بریس های لینگوال، گفتار شما تحت تأثیر قرار میگیرد.
در حالی که همه انواع بریس ها می توانند به طور موقت با الگوهای گفتاری شما تداخل داشته باشند، اما به طور معمول، گفتار شما ممکن است برای مدت تقریبی یک ماه با بریسهای زبانی متفاوت باشد. ضمن آنکه درجه اختلال گفتار، بسته به برندی از براکت هایی که ارتودنتیست استفاده میکند میتواند متفاوت باشد.
برخی از بیماران با استفاده از تکنیک های گفتار درمانی موفق به تصحیح لب های زبانی شده اند. با این حال، در نهایت، زبان شما به بریس ها عادت می کند و گفتار شما به حالت عادی بازمی گردد. در این خصوص می توانید مشاوره های لازم را از متخصصان کلینیک فوق تخصصی دندانپزشکی Dencare دریافت کنید.
آیا ارتودنسی لینگوال ناراحت کننده است؟

مهم نیست که چه نوع براکتی را انتخاب می کنید، با شروع حرکت دندان ها کمی ناراحت را دریافت خواهید کرد. اکثر مردم این درد را به عنوان یک درد هنگام جویدن یا درد مبهم تجربه می کنند و به طور کلی می توان آن را با داروهای بدون نسخه تسکین داد. توصیه می شود تا زمانی که درد فروکش کند، غذاهای نرم مانند ماست، برنج و تخم مرغ آب پز میل کنید.
براکت ها همچنین می توانند در تماس با بافت های نرم داخل دهان باعث درد شوند. با براکت های زبانی در ارتودنسی لینگوال ، زبان به دلیل محل براکت ها، درد شایعی را ایجاد می کند. این در حالی است که برای برخی از بیماران، ناراحتی بریس های لینگوال قابل توجه است.
برای بهبود بیماران، تولیدکنندگان براکت های زبانی را کوچک تر و صاف تر می کنند. براکت ها را نیز می توان سفارشی کرد که می تواند ناراحتی را کاهش دهد. برای تسکین کوتاه مدت در دندان های حساس، می توانید یک ژل تسکین دهنده موضعی دندان یا مقدار کمی موم را روی لبه های تیز براکت های خود امتحان کنید.
اگر سیم در حال خراش است، با متخصص ارتودنسی خود تماس بگیرید. در ارتودنسی لینگوال ، سیم ها را میتوان برش داد تا به شما آسیب نرسانند.
مزایا و معایب بریس های لینگوال
از جمله مزایای این روش از ارتودنسی می توان به موارد ذیل اشاره کرد:
- بریس های لینگوال تقریباً نامرئی هستند.
- آنها به طور موثر اکثر مشکلات گاز گرفتن را اصلاح می کنند.
- آنها را می توان برای افزایش راحتی شما و به حداکثر رساندن کارایی آنها سفارشی کرد.
معایب این روش از ارتودنسی لینگوال نیز بشرح ذیل است:
- آنها به طور معمول به شما یک لحن موقت می دهند.
- ممکن است بیشتر از بریس های معمولی طول بکشد.
- بریس های لینگوال ممکن است گران تر از انواع دیگر بریس ها باشند.
- آنها می توانند ناراحتی قابل توجهی را به خصوص در ابتدا ایجاد کنند.
نکات مهم در ارتودنسی نوع لینگوال

در این خصوص، نکات مهمی وجود دارد که باید در نظر داشته باشید:
نحوه قرار دادن:
در حالی که در ارتودنسی لینگوال ، مواد و روش مشابه بریس های سنتی است، این نوع بریس ها در پشت دندان ها قرار می گیرند و تقریباً به صورت کامل نامرئی هستند. این برای افرادی که نمی خواهند نشان دهند که دندان های خود را ردیف می کنند یا افرادی که کارشان مانع از داشتن بریس های سنتی می شود، بسیار عالی است.
مقایسه با روش های دیگر:
بریس های لینگوال تنها گزینه نامرئی موجود نیستند. بریس های دیگری مانند Invisalign وجود دارند که نوع مشابهی از درمان را ارائه می دهند. با این حال، وقتی صحبت از ارتودنسی لینگوال در مقابل اینویزیلاین می شود، باید بدانید که اینویزیلاین یک روش صاف کردن متحرک را ارائه می دهد.
این بدان معناست که آنها بریس ها دائمی نیستند، قابل جابجایی بوده و شما باید آن را برای مدت زمان مشخصی بپوشید تا موثر باشد. از در حالی است که بریس های لینگوال به طور دائم روی دندان های شما قرار می گیرند، بنابراین لازم نیست به صورت مکرر آنها را بپوشید.
اینویزیلاین از پلاستیک مخصوصی ساخته شده است و در برخی موارد نمی تواند مشکلات دندانی شدید را برطرف کند. همچنین، از محاسن اینویزالاین برای چک آپ کمترلازم است به متخصص ارتودنسی خود مراجعه کنید، در حالی که ارتودنسی لینگوال نیاز به تنظیم و سفت کردن هر ماه یکبار دارند.
هزینه ارتودنسی:
وقتی صحبت از مزایا و معایب بریس های لینگوال می شود، هزینه ها بیشتر خود را نشان می دهد. در حالی که آنها شبیه بریس های سنتی هستند، گاهی اوقات نیاز به سفارشی سازی فردی دارند تا به طور کامل روی هر دندان قرار بگیرند، که می تواند هزینه آنها را افزایش دهد.
محدودیت های غذایی:
بسیاری از مردم نمی دانند که با بریس های زبانی، چه چیزی را نباید بخورند. مشابه بریس های سنتی، باید از خوردن غذاهای سفت مانند ذرت یا سیب پرهیز کنید، زیرا می تواند ارتودنسی لینگوال را بشکند. پرهیز از غذاهای چسبنده مانند کارامل یا انواع خاصی از آب نبات توصیه می شود، زیرا در پشت بریس ها می چسبد و به سختی پاک می شود.
اما با بریس های لینگوال چه چیزی می توانید بخورید؟ فرآورده های لبنی مانند پنیر، ماست یا هر فرآورده شیری، نان، میوه های نرم تر و غلات و همچنین غذاهای دریایی و سبزیجات مجاز هستند. گوشت می تواند مشکل ساز باشد، بنابراین سعی کنید تا حد امکان آن را به قطعات کوچک برش دهید.
الزامات بهداشتی:
از آنجایی که بریس های لینگوال نامرئی هستند، ممکن است مسواک زدن دندان ها و تمیز کردن تمام براکت ها سخت تر باشد. بنابراین، خرید آینه دندانپزشکی می تواند یک انتخاب ارزشمند باشد، زیرا به شما امکان می دهد دید بهتری از آنچه باید در ارتودنسی لینگوال تمیز شود.
سایر مشکلات:
بریس های زبانی ممکن است تا زمانی که به آن ها عادت نکنید، مشکلاتی در گفتار ایجاد کنند. این معمولا چند هفته طول می کشد. این می تواند باعث تحریک و آفت زبان شود، زیرا قرار دادن براکت ها در پشت دندان غیرعادی است. سایر ناراحتی های دهان ممکن است وجود داشته باشد، اما این اثرات به سرعت از بین می روند. مزیت این است که فقط زبان شما با بریس ها در تماس است، بنابراین تحریک لثه ها و گونه ها وجود ندارد.
انعطاف پذیری بیشتر ارتودنسی لینگوال
ارتودنسی لینگوال انعطاف پذیرتر است، به این معنی که لازم نیست روی همه دندان ها قرار گیرد. طرح درمان بستگی به مشکلات دندانی دارد که با آن مواجه هستید. اگر هیچ بیماری زمینه ای مانند بایت نامنظم ندارید، متخصص ارتودنسی می تواند بریس ها را فقط روی دندان هایی که نیاز به صاف کردن دارند، قرار دهد. در واقع، بریس های لینگوال ابزاری عالی برای صاف کردن دندان ها و مقابله با مشکلات شدیدتر دندانی هستند.
توجه داشته باشید که طول درمان ارتودنسی لینگوال بسته به بیمار متفاوت است. در اکثر بیماران ممکن است از یک تا دو سال طول بکشد، اما در موارد شدید ممکن است زمان بیشتری برای تکمیل آن طول بکشد. این روش، فشار بیشتری به دندان های شما وارد می کند که می تواند باعث کشیده شدن و فشرده شدن غشای پریودنتال و لق شدن دندان ها شود.
پس از آن، یک استخوان جدید در اطراف دندان ها تشکیل می شود و آنها را در موقعیت جدیدی قرار می دهد. با این حال، شما باید زمان بیشتری را صرف تمیز نگه داشتن دندان های خود کنید. پس از قرار دادن براکت های ارتودنسی لینگوال روی دندان هایتان، متخصصان دندانپزشکی، روش های صحیح مسواک زدن و نخ دندان کشیدن را توضیح خواهند داد.
آیا ارتودنسی لینگوال می تواند مشکل اوربایت را اصلاح کند؟
ارتودنسی موثرترین و رایج ترین انتخاب درمانی برای اصلاح اوربایت است. آنها به دندان ها فشار وارد می کنند و آنها را حرکت می دهند و دندان ها را در مکان های ایده آل قرار می دهند و مشکلات اوربایت را اصلاح می کنند. برای دریافت خدمات درمانی و زیبایی دندان و کسب اطلاعات کامل تر در خصوص ارتودنسی لینگوال ، با کارشناسان کلینیک فوق تخصصی دندانپزشکی Dencare در تماس باشید.
The post ارتودنسی لینگوال و نحوه عملکرد آن appeared first on کلینیک تخصصی دندانپزشکی Dencare.
from کلینیک تخصصی دندانپزشکی Dencare https://ift.tt/1fXUk8y
via IFTTT
Comments
Post a Comment