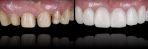
مراحل لمینت دندان
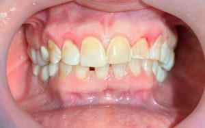
لمینت دندان پوسته ای بسیار نازک به رنگ دندان است که در قسمت جلویی نصب می شود تا ظاهر شما را بهبود بخشد. شکستگی دندان، ترک، تغییر رنگ دندان، فاصله یا تراز ناهموار و ساییده شدن مینای دندان از جمله مشکلات متعددی است که با انجام مراحل لمینت دندان قابل حل است. هزینه لمینت دندان را می توانید هنگام دریافت مشاوره از کلینیک فوق تخصصی دندانپزشکی Dencare دریافت کنید.
مراحل لمینت دندان چیست؟

برای آن که دندانپزشک، لمینت دندان معمولی را اعمال کند، مراحلی را باید در نظر بگیرد که شامل موارد ذیل است:
مرحله 1: آماده سازی دندان
برای لمینت دندان معمولی، روش کار این است که مینای سمت جلوی دندان شما تقریباً به اندازه ضخامت لمینتی که به آن چسبانده می شود، برداشته می شود. به این ترتیب، پس از تکمیل این روش از مراحل لمینت دندان ، ضخامت کلی دندان شما به طور چشمگیری تغییر نمی کند.
در حین انجام کار، دندانپزشک به طور مداوم دستورالعمل های لازم در مورد حداکثر مقدار مینای دندان که به طور کلی مجاز برای برداشتن آن است را در نظر می گیرد و سعی می کند در محدوده ایده آل باقی بماند. اگر دندان شما دارای نواحی پوسیدگی دندان باشد، دندانپزشک آن را به طور گسترده تر در آن مکان ها تراش می دهد تا آن را خارج کند.
لمینت های سرامیکی را می توان روی پرکننده های سفید (کامپوزیت دندان) موجود چسباند. با این حال، جایگزینی آنها با موارد جدید، به تضمین امن ترین پیوند کمک می کند. در این بخش از مراحل لمینت دندان ، دندانپزشک، یک فرم کلی به آماده سازی دندان می دهد که در آن لبه های لمینت نه به راحتی دیده می شود و نه در نقطه ای قرار می گیرد که دندان های مقابل با هم تماس دارند.
عمق آماده سازی به مینای دندان محدود می شود. وضعیت ایده آل شرایطی است که تمام سطوح لمینت فقط روی مینای دندان قرار گیرند. به این ترتیب، تمام جنبه های سطح داخلی لمینت، مستقیماً روی مینای دندان قرار می گیرد. این، نوع ساختار دندانی است که با آن می توان مطمئن ترین و قابل پیش بینی ترین پیوند را در مراحل لمینت دندان ایجاد کرد.
میزان تراش مینای دندان:

میزان دقیق مینای دندانی که تراشیده می شود در هر مورد متفاوت است، اما می تواند بین ۰.۵ تا ۰.۷ میلی متر باشد. این تقریباً دو برابر ضخامت پوسته تخم مرغ است و در مقایسه با سایر روش های دندانپزشکی، مقدار بسیار کمی است. در برخی موارد، دندانپزشک ممکن است تصمیم بگیرد دندان را بیشتر بتراشد که احتمالاً به اندازه یک میلی متر یا بیشتر خواهد بود. زمانی که این تصمیم در مراحل لمینت دندان گرفته می شود، دو موضوع در دست است.
آماده سازی دندان تهاجمی تر به این معنی است که می توان لمینت ضخیم تری قرار داد. این پوششی است که هم می تواند رنگ دندان زیرین که دچار تغییر رنگ دندان شده است را بپوشاند و هم در عین حال درجه بالایی از شفافیت ترمیم را حفظ کند. این همان ویژگی است که به ایجاد ظاهری بسیار طبیعی کمک می کند.
از سوی دیگر، آماده سازی بیش از حد ممکن است مناطقی از عاج دندان یا همان بافت سخت دندانی که در زیر مینای دندان وجود دارد را در معرض دید قرار دهد. در این صورت، طول عمر لمینت دندان در مراحل لمینت دندان ، ممکن است تحت تأثیر قرار گیرد.
نیاز به بی حسی در انجام لمینت دندان:
دندان ها را می توان برای لمینت ها بدون استفاده از بی حس کننده آماده کرد (شات دندانی). اما ممکن هم است متوجه شوید که به بیحسی نیاز دارید. برخی از دندان ها و بافت های دندان به طور طبیعی به احساس سرما حساس هستند و اگر لبه های روکش تا زیر خط لثه کشیده شود، آن بافت ها باید دستکاری شوند و ممکن است حساسیت دندان بالاتری را ایجاد کنند.
مرحله 2: انتخاب رنگ دندان

دندانپزشک از راهنمای انتخاب رنگ دندان خود برای تعیین اینکه کدام رنگ پرسلن با دندان هایی که در هر طرف دندانی که لمینت می کنند مطابقت دارد، در مراحل لمینت دندان استفاده می نماید. همچنین دندانپزشکان ممکن است تصمیم بگیرند که برای قسمت های مختلف لمینت باید از رنگ های مختلف استفاده شود. همچنین یادداشت هایی در مورد اینکه کدام مناطق از لمینت باید نسبتاً کم و بیش شفاف باشد را یادداشت می کنند. رنگ لمینت دندان زمانی که روی دندان قرار می گیرد، با انتخاب رنگ چسب لمینت قابل تنظیم است.
مرحله 3: قالبگیری یا اسکن کردن

در این مرحله، دندانپزشک از دندان ها و لثه های اطراف آن تصویری می گیرد. این کپی از دهان شما است که برای ساخت لمینت استفاده می شود. دو راه برای برداشت وجود دارد. تصویری از دندان یا اسکن دیجیتال برای لمینت و یا یک قالب سیلیکونی دندانپزشکی که در مراحل لمینت دندان به کار گرفته می شود.
اکثر دندانپزشکان با استفاده از قالب خمیر سیلیکونی آن را تهیه می کنند. این به سادگی یک توده ضخیم است که در یک قاشقک قرار می گیرد و سپس روی دندان های شما فشرده و پخش می شود. سپس، اجازه داده می شود چند دقیقه بماند تا جا بیفتد و سفت شود . پس از آن، از دهان خارج گردد.
این قالب به لابراتوار دندانسازی فرستاده می شود و از آن برای ساخت لمینت سرامیکی استفاده می کنند. بسته به اینکه چه ترتیبی داده شده است، زمان انجام این فرآیند معمولاً حدود 2 هفته است. معمول است که دندانپزشک دندان را طوری آماده کرده است که لبه لمینت، درست زیر خط لثه قرار بگیرد.
اگر چنین است، دندانپزشک در این بخش از مراحل لمینت دندان ، رشتهای شبیه به نخ را در شکاف بین دندان و بافت لثه درست قبل از برداشتن آن می بندند. پس از قرار گرفتن در محل، این بند، بافت لثه را از دندان دور می کند. سپس، درست قبل از برداشتن قالب، دندانپزشک بند را برمی دارد.
هدف از این کار این است که که حتی اگر بند برداشته شده باشد، لثه های شما همچنان برای چند لحظه از سطح دندان دور می مانند. این تأخیر فرصتی را فراهم می کند تا ماده قالب گیری در فضای زیر خط لثه فشرده شود و بدین ترتیب میزان کامل آماده سازی دندان را به تصویر بکشد.
اسکن دیجیتال
دنیای دیجیتال و هوش مصنوعی در دندانپزشکی هم بخوبی نفوذ و پیشرفت کرده است . با بکارگیری اسکنر دیجیتال در هر ثانیه چند عکس از دندانهای شما گرفته می شود . سپس هوش مصنوعی آنها را بر روی هم منطبق کرده و یک نمای سه بعدی دقیق با دقت ۰.۰۰۵ میلی متر ارائه می دهد . این فایل کامپیوتری به لابراتوار دیجیتال ارسال می گردد تا با کمک دستگاه کد کم لمینت دندان شما ساخته شود .
مرحله 4: قرار دادن روکش موقت

در مواردی که لمینت توسط لابراتوار دندانپزشکی ساخته می شود، معمولاً باید 1 یا 2 هفته در حین ساخت آن صبر باید کرد. سپس این سوال پیش میآید که آیا در این دوره زمانی در مراحل لمینت دندان ، از روکش موقت استفاده میکنید یا خیر.
الف) موقعیت هایی که هیچ روکش موقتی در آن قرار نمی گیرد.
این حالت می تواند برای مواردی باشد که فقط مقدار کمی از ساختار دندان برداشته شده یا زمانی که لمینت های فوق نازک و بدون آماده مثل لومینیرز قرار داده شده است.
در مواردی که حداقل مقدار آماده سازی دندان انجام شده باشد، مسلماً با بررسی دقیق، دندان بسیار کم متفاوت به نظر می رسد و از آنجایی که مقداری از لایه سطحی دندان در مراحل لمینت دندان برداشته شده است، ممکن است متوجه شوید که حساسیت آن به غذاها و نوشیدنی های سرد و گرم افزایش یافته است و به زبان و لب های شما آسیب وارد می کند
اما اینکه این مسائل واقعاً چقدر ناراحت کننده هستند و اینکه آیا روکش موقت برای جبران آنها لازم است یا نه، چیزی است که فقط شما و دندانپزشکتان می توانید تصمیم بگیرید. هنگامی که فقط یک دندان در حال درمان است، ظاهر آن ممکن است به اندازه ای متفاوت باشد که ممکن است نیاز به گذاشتن یک روکش موقت در مراحل لمینت دندان داشته باشد.
ب) موقعیت هایی که از موقت استفاده می شود.
قرار دادن روکش موقت، برای درمان مواردی که نیاز به تراش دادن مقدار نسبتاً بیشتری از ساختار دندان وجود دارد، رایج تر است. اینها دندان هایی هستند که ظاهر آنها به طور قابل توجهی تغییر می کند ، یا ممکن است مسئله حساسیت حرارتی برای بیمار مشکل ساز باشد.
دندانپزشک اغلب از قالبی استفاده میکند که پر از پلاستیک است تا روکش موقت ایجاد شود. در برخی موارد در مراحل لمینت دندان ، این قالب از ماکت مومی یا گچ دندان ساخته می شود که به دلیل زمان زیادی که برای ساخت آن در نظر گرفته شده است، باید قبل از قرار ملاقات با شما هماهنگ شود.
این نکته مهم است که روکش موقت باید به اندازه کافی ایمن باشد که به خوبی در جای خود بماند، در عین حال در جلسه بعدی به راحتی برداشته شود. به خاطر داشته باشید که بر خلاف روکش های موقت دندانی که به طور کامل دندان خود را می پوشاند، این نوع فقط در قسمت جلویی چسبانده می شود. این تفاوت در مراحل لمینت دندان ، می تواند ایجاد یک موفقیت موقت را کمی چالش برانگیز کند.
دندانپزشکان راه حل هایی برای این چالش ها دارند، اما آنها معمولاً به قیمت ایجاد درجاتی از التهاب لثه تمام می شوند. زیرا نمی توانید اطراف روکش موقت را به طور کامل نخ دندان بکشید و تمیز کنید. مدیریت بافت ملتهب لثه زمانی که روکش می شود، سخت تر خواهد شد.
مرحله 5: ارزیابی قبل از چسباندن لمینت

در این مرحله لمینت دندان ساخته شده و آماده چسباندن روی آن است. اگر روکش موقت گذاشته شده باشد، دندانپزشک شما آن را برمی دارد. در این بخش از مراحل لمینت دندان ، لمینت به عنوان آزمایش روی دندان قرار می گیرد تا تناسب و سایه آن را ارزیابی کند.
الف) بررسی تناسب
دندانپزشک ابتدا باید نحوه نشستن لمینت روی دندان شما را ارزیابی کند. برای انجام این کار، آنها را در جای خود قرار می دهند، آن را بررسی کرده یا حذف می کنند و مرتباً آن را کوتاه خواهند کرد تا زمانی که از تناسب آن راضی شوند.
ب) ارزیابی شکل
حتی اگر لابراتوار یا ماشین کدکم که لمینت را ساخته است، آن را به شکل ایدهآل درآورده است، شما و دندانپزشکتان ممکن است تصمیم متفاوتی بگیرید. احتمالاً لبه های خاصی باید کوتاه، مربع یا گرد شوند تا درست به نظر برسد. در این صورت، دندانپزشک این تغییرات را در مراحل لمینت دندان تکمیل خواهد کرد.
ج) ارزیابی رنگ
دندانپزشک سایه ای از پرسلن را برای لمینت انتخاب می کند که انتظار دارد با دندان های مجاور دندان مطابقت داشته باشد. اما از آنجایی که شفاف است، رنگ دقیق آن را می توان از طریق سایه سمانی که برای چسباندن آن در محل استفاده می شود، تنظیم کرد.
اکنون لمینت را می توان روی دندان قرار داد تا شما و دندانپزشک بتوانید رنگ آن را ارزیابی کنید. اگر مناسب نیست، دندانپزشک میتواند همین ارزیابی را با استفاده از رنگ های دیگر از خمیرهای آزمایشی تکرار کند تا زمانی که رنگ مناسب پیدا شود.
مرحله 6: چسباندن لمینت دندان

هنگامی که شما و دندانپزشک در مراحل لمینت دندان تشخیص دادید که شکل و سایه آن مناسب است، لمینت شما می تواند در جای خود بچسبد. دندانپزشک ابتدا خمیر آزمایشی را می شوید و سطح داخلی لمینت را تمیز و آماده میکند. اکنون وقت آن است که اقداماتی همچون اچ کردن دندان، چسباندن لمینت در جای خود و برش روکش اضافی صورت گیرد.
نتیجه گیری
مراحل لمینت دندان هریک دارای اهمیت خاصی در نتیجه و کیفیت کار هستند . رعایت نکات لازم توسط دندانپزشک در هر مرحله در حصول نتیجه موفق بسیار موثر است . از تراش دندان تا قالبگیری و انتخاب رنگ لمینت و کیفیت لابراتوار سازنده و امتحان کار در دهان و نحوه چسباندن نیاز به دانش و تجربه و تکنولوژی و مواد خاص است .
در صورتی که به لمینت دندان با کیفیت عالی نیاز دارید، می توانید به کلینیک فوق تخصصی دندانپزشکی Dencare مراجعه کرده و مشاوره های لازم را دریافت نمایید. ارائه خدمات در این کلینیک، به دلیل بهره مندی از تجهیزاتی پیشرفته، محیطی استریل و بهداشتی و پرسنلی متخصص، در سطح ممتاز خواهد بود.
The post مراحل لمینت دندان appeared first on کلینیک تخصصی دندانپزشکی Dencare.
from کلینیک تخصصی دندانپزشکی Dencare https://ift.tt/PLN2ieY
via IFTTT
Comments
Post a Comment