دلیل جداشدن کامپوزیت دندان
یافتن ماده ای که بتواند تمام الزامات مورد نیاز برای جایگزینی ساختار دندان از دست رفته را برآورده کند، یک چالش واقعی است. بسیاری از چنین مواد ترمیمی در طول سال ها مورد بررسی قرار گرفته اند، اما جایگزین ایده آل هنوز شناسایی نشده است. آنچه ما امروزه برای ترمیم های مختلف استفاده می کنیم، فلزات، پلیمرها و سرامیک های مختلف و همچنین ترکیبی از این مواد است. از همین روست که گاهی با چالش هایی در خصوص ترمیم های دندانی مواجه می شویم. در اینجا به بررسی دلیل جداشدن کامپوزیت دندان و راه های ترمیم کامپوزیت دندان می پردازیم، می توانید برای انجام کامپوزیت در کیفیت عالی، به کلینیک فوق تخصصی دندانپزشکی Dencare مراجعه کنید.

استفاده از مواد با کیفیت بالا
بسیاری از این مواد، با وجود اینکه کامل نیستند، به خوبی کار می کنند. به عنوان مثال، با پوشش و لعاب دادن پوسته تاج با سرامیک، می توان یک ترمیم محکم و جذاب ایجاد کرد. این نوع ترمیم تاج را ترمیم چینی به فلز می نامند و در صورتی که این روکش ها به درستی طراحی شوند، می توان آنها را به اصطلاح به بریج دندان متصل کرد.
مشکل بالقوه این نوع روکش دندان این است که پوشش سرامیکی ممکن است با گذشت زمان خرد شود که نیاز به بازسازی کامل دارد. یکی دیگر از مواد ترمیمی محبوب شامل مخلوطی از ذرات سرامیکی و مونومرهای قابل درمان است که به اصطلاح رزین کامپوزیت دندان را تشکیل می دهند.
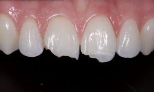
این رزینهای کامپوزیت را میتوان به دیواره های حفره چسباند و ترمیم کامپوزیت دندان ایجاد کرد. یک مشکل بالقوه در مورد این ترمیم ها این است که در طول درمان منقبض می شوند و گاهی اوقات از هم جدا می شوند و شکسته می شوند. اما دلیل جداشدن کامپوزیت دندان چیست؟
ترمیم های تمام سرامیکی کامپوزیت
علاوه بر روکش ها و کامپوزیت های متصل شده به فلز ، ترمیم های تمام سرامیکی و فلزی و همچنین پروتزهای مبتنی بر پلیمر نیز معمولاً استفاده می شود. این سازه ها نیز محدودیت های ذاتی خود را دارند. دلیل اینکه ساخت یک ماده دندانپزشکی ایده آل دشوار است، این خواهد بود که چنین ماده ای باید زیست سازگار، قوی، زیبایی شناختی، مقاوم در برابر خوردگی و به راحتی قابل پردازش باشد، خواصی که یافتن آنها در یک ماده به سختی انجام می شود.
علاوه بر دلیل جداشدن کامپوزیت دندان ، هزینه های مواد و همچنین پردازش چنین موادی باید نسبتاً پایین باشد تا بتوان از این مواد در بین همه گروه های جامعه، به صورت گسترده استفاده کرد. این تقاضا فرآیند شناسایی مواد ایده آل را چالش برانگیزتر می کند. امروزه، دندانپزشکی تا حد زیادی بر اساس نیازهای زیبایی دندان انجام می شود و مواد قابل انتخاب را عمدتاً به مواد همرنگ دندان محدود می کند.
به دلیل این تقاضا، دندانپزشکان از ترمیم های فلزی سنتی با ارزش های چقرمگی شکستگی بالا مثل آمالگام دور می شوند و به سمت ترمیم کامپوزیت دندان ، مبتنی بر رزین و ترمیم های تمام سرامیکی با چقرمگی شکست نسبتاً پایین حرکت می کنند.
ترمیم های تمام سرامیکی مدرن، از ساختارهای هسته ای ساخته شده توسط سرامیک های مقاوم در برابر شکست مانند آلومینا و زیرکونیا تثبیت شده، تشکیل شده اند. با این حال، ظاهر نسبتاً مات این دو سرامیک اغلب مستلزم آن است که آنها با سرامیک هایی با شکستگی کمتر اما جذاب تر روکش شوند.
شاید دلیل جداشدن کامپوزیت دندان این است که استفاده از مواد جذاب تر باعث افزایش طول عمر ترمیم کامپوزیت دندان نشده است، اما در برخی موارد که از رزین های کامپوزیت استفاده می شود. حرکت به سمت کامپوزیت های باند شده ممکن است روش حفظ ساختار دندان را افزایش دهد.
افزایش طول عمر کامپوزیت دندان

مزیت چنین استفاده ای این است که میزان ساختار دندان مورد نیاز برای برداشتن در حین آماده سازی را کاهش می دهد و بنابراین می تواند طول عمر پرکردن دندان را افزایش دهد. مراحل زیادی برای قرار دادن یک ترمیم کامپوزیت دندان موفق و طولانی مدت انجام می شود. هنگامی که یک ترمیم با شکست مواجه می شود، درک دلیل جداشدن کامپوزیت دندان ، اولین قدم مهم در جلوگیری از بروز مشکل مشابه در آینده است.
برای یک دندانپزشک آسان است که تقصیر یک ترمیم ناموفق را به گردن سازنده مواد بیاندازد. در برخی موارد، تولید کننده مقصر است، زیرا مواد اغلب بدون آزمایش بالینی مناسب به بازار ارسال می شوند. با این حال، به طور کلی، این تنها دلیل جداشدن کامپوزیت دندان نیست. هنگامی که با یک ترمیم کامپوزیت دندان ناموفق مواجه می شوید، دندانپزشک باید قبل از اینکه تمام تقصیر شکست را بر عهده سازنده بگذارد، به تکنیک خود و نحوه استفاده از مواد نگاه کند.
دلایل شکست کامپوزیت

دلایل اصلی در این موضوع، پوسیدگی، شکستگی، کمبودهای حاشیه ای، سایش و حساسیت دندان پس از عمل است. بسیاری از این موارد را می توان توسط تخصص دندانپزشک کنترل کرد. با این حال، بیمار نیز نقش زیادی در موفقیت طولانی مدت هر ترمیم دارد.
سن بیمار، قومیت بیمار، تعداد سطوح ترمیم شده، سن دندان پزشک و حجم کاری دندان پزشک، پیش بینیکننده های مهمی برای شکست زودهنگام ترمیم کامپوزیت دندان و دلیل جداشدن کامپوزیت دندان هستند. بنابراین، قبل از اینکه فرض کنیم خرابی دندان، ناشی از مشکل یک ماده است، مهم است که سایر عوامل مرتبط را که ممکن است در شکست یک ترمیم نقش دارند در نظر بگیریم.
دستورالعمل سازنده

هنگام تجزیه و تحلیل یک شکست، یکی از اولین سوالاتی که باید بپرسید این است که آیا دستورالعمل های سازنده برای محصول رعایت شده است؟ بسیاری از دندانپزشکان تصور می کنند که تمام سیستم های باندینگ و ترمیم کامپوزیت دندان یکسان هستند و اگر با یکی از آنها آشنایی داشته باشند، می توانند از هر سیستم موجود در بازار استفاده کنند.
در برخی از سیستم های باندینگ، دستورالعمل های سازنده می گوید که محصول را برای مدت معینی داخل عاج بمالید، در حالی که برای برخی دیگر، بایستی آن را برای مدت زمان متفاوتی دست نخورده بگذارید. آیا قبل از استفاده با اسید فسفریک اچ می کنید و اگر بله، برای چه مدت؟ پاسخ به این موارد، می تواند در ارزیابی دلیل جداشدن کامپوزیت دندان موثر باشد.
برخی از کامپوزیت ها به زمان ستینگ بیشتر یا لایه های کوچک تر نیاز دارند، در حالی که برخی دیگر به نور کمتری وابسته هستند و میتوان آن ها را پر کرد. حتی اگر دستورالعملها قبل از استفاده خوانده شوند، تکنیک نادرست ممکن است منجر به ترمیم ضعیف شود که منجر به نارضایتی در بیمار و دندانپزشک زیبایی خواهد شد.
اثربخشی کنترل رطوبت

کنترل رطوبت عالی، میدان عملیاتی برای ترمیم کامپوزیت دندان ، بسیار مهم است. استفاده از یک سد لاستیکی مناسب در هنگام قرار دادن مواد کامپوزیت ایده آل است. ترمیم هایی که با یک سد لاستیکی(رابردم) قرار داده شدهاند، شکستگی های مواد کمتری را نشان دادهاند که نیاز به تعویض دارند.
این همچنین تأثیر قابل توجهی بر طول عمر کلی داشته است. پیوند مرطوب، برای اکثر سیستم های چسب توصیه می شود. با این حال، مقدار بهینه رطوبت بسته به سیستم چسب (اچ و شستشو یا خود اچ) مورد استفاده و پرایمر (استون یا اتانول) در سیستم متفاوت است. توجه به این نکات در بررسی دلیل جداشدن کامپوزیت دندان کمک زیادی خواهد کرد.
انقباض پلیمریزاسیون

کامپوزیت های رزین معمولی که در دندانپزشکی ترمیمی به کار می روند، بسته به فرمولاسیون و شرایط ستینگ، مقادیر انقباض حجمی کمتر از 1% تا 6% را نشان می دهند که در نهایت منجر به حساسیت بعد از عمل، تغییر رنگ دندان حاشیه ای، پوسیدگی های مکرر و در نهایت از دست دادن ترمیم کامپوزیت دندان میشود.
روش های مختلفی برای غلبه بر این مشکل پیشنهاد شدهاند، از جمله لایهبندی تدریجی، قرار دادن کامپوزیت فلو به عنوان استرس شکن و کاربردهای مختلف نور. جدیدترین رویکرد با توسعه کامپوزیت های با تنش کم انقباض بوده است که به دلیل کاهش تنش انقباضی، می توانند پر شوند.
لایت کیورینگ

هر کامپوزیت به مقدار معینی انرژی (ژول) برای ستینگ کامل نیاز دارد. این ممکن است بسته به سازنده، نوع مواد کامپوزیت و رنگ کامپوزیت متفاوت باشد که می تواند بر دلیل جداشدن کامپوزیت دندان نیز موثر باشد. این تابعی از قدرت نور ستینگ و مدت زمانی است که نور تابانده می شود.
متأسفانه، مقدار انرژی تابشی به دلیل قرارگیری نامناسب و حرکت نوک نور در حین ستینگ، فاصله نوک نور از رزین، رنگ و نوع ماده رزین، وضعیت واحد لایت کیور می تواند متفاوت باشد. حتی قوی ترین نور کیورینگ هم اگر کامپوزیت به درستی قرار نگیرد، آن را سخت نمی کند. فقط به این دلیل که لایه بالایی ترمیم کامپوزیت دندان سخت است، نشان دهنده آن نیست که کامپوزیت در قسمت پایین پخت شده است.
به طور کلی، توجه کافی به محل مناسب نور کیورینگ یا وضعیت نور نمی شود. مقدار مناسب تابش توسط سازنده و رنگ کامپوزیت تعیین می شود. پخت ناقص یا ناکافی بر خواص فیزیکی رزین تأثیر منفی می گذارد، استحکام باند به دندان را کاهش می دهد، زیست سازگاری ترمیم را کاهش داده، سایش و خرابی حاشیه ای را بالا برده و کلونیزاسیون باکتریایی ترمیم را افزایش می دهد.
اندازه و محل بازسازی
نشان داده شده است که موقعیت دندان در قوس و اندازه حفره، عامل موفقیت یک ترمیم کامپوزیت دندان است. یک مطالعه نشان داد که خطر شکست در ناحیه مولر ،دو برابر بیشتر از دندانهای پرمولر است، در حالی که مطالعه دیگری میزان شکست را در دندان های آسیاب پایین سه برابر بیشتر از دندان های پرمولر فوقانی نشان می دهد که خود، دلیل جداشدن کامپوزیت دندان خواهد بود.
تکنیک قرار دادن مناسب

بسیاری از کارشناسان به دلیل کاهش ضریب “C” و کاهش تنش انقباضی، قرار دادن تدریجی کامپوزیت را توصیه می کنند. با این حال، با معرفی مواد کامپوزیتی با تنش انقباضی کم، پر کردن فله محبوب تر شده است. به دلیل استرس کم و عمق درمان خوب، این ترمیم کامپوزیت دندان ، ممکن است چاره ساز باشند.
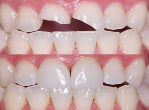
مهم نیست از کدام تکنیک استفاده می شود، قرار دادن ماتریس مناسب برای موفقیت ترمیم بسیار مهم است. ترمیم هایی که تماس باز یا اورهانگ لثه دارند، ترمیم قابل قبولی نیستند. نهفتگی غذا از تماس باز منجر به التهاب لثه می شود و حاشیه باز یا ناهموار ممکن است منجر به رشد باکتری و در نهایت پوسیدگی دندان مکرر شود. سیستم های ماتریس مقطعی و حلقه های جداکننده ممکن است خطوط، تماس ها و مهر و موم حاشیه ای بهتری را در ترمیم کامپوزیت دندان ایجاد کنند.
قرار دادن جعبه پروگزیمال

شکست باندینگ معمولاً به حاشیه لثه ترمیمهای کامپوزیت کلاس II نسبت داده میشود. در جعبه پروگزیمال اکثر ترمیمهای کلاس II، مینای دندان برای باندینگ کم است یا اصلاً وجود ندارد. شکاف در لبه های لثه به پتانسیل پیوند ضعیف در این حاشیه ارتباط داده می شود. اختلاف بین عمق اچ و نفوذ چسب منجر به ایجاد یک منطقه بزرگ از کلاژن در حاشیه لثه می شود.
متغیر دیگری که ممکن است با پیوند در ناحیه لثه تداخل داشته باشد محتوای آب است. افزایش محتوای آب منجر به کاهش نفوذ چسب و تبدیل مونومر یا پلیمر کمتر چسب در حاشیه لثه در مقایسه با دیواره پروگزیمال می شود. گاهی پس از شناسایی دلیل جداشدن کامپوزیت دندان ، گلاس آینومر به عنوان اولین لایه برای این حاشیه های عمیق در نظر گرفته می شود.
تطبیق رنگ
تطابق رنگ صحیح کامپوزیت و دندان یکی از جنبه های مهم ترمیم زیبایی است. موارد زیادی می تواند انتخاب صحیح رنگ را پیچیده کند، مانند سیستم روشنایی در مطب، روشن شدن دندان ها هنگام کم آبی، رنگ لباس دندانپزشک یا لباس بیمار و تجربه شخصی که انتخاب رنگ را انجام می دهد.
انتخاب رنگ نیاز به دانش فیزیک و فیزیولوژی رنگ دارد. بنابراین، این هم یک هنر و هم علم است که نیازمند دانش عمیق، قضاوت بالینی دقیق و ادراک دندانپزشک هنگام ترمیم کامپوزیت دندان می باشد.
تکمیل و پرداخت کامپوزیت

هنگام بررسی نهایی دلیل جداشدن کامپوزیت دندان ، پرداخت با کیفیت بالا هم زیبایی و هم طول عمر ترمیم های کامپوزیت را بهبود می بخشد، در حالی که سطوح خشن و ضعیف صیقل خورده به رنگ آمیزی، تجمع پلاک، تحریک لثه، پوسیدگی مکرر و تغییر رنگ ترمیم کمک می کنند.
سیستم های زیادی برای ترمیم کامپوزیت دندان وجود دارد. فرآیند تکمیل و پرداخت، از جمله فرزهای کاربید یا الماس ریز، دیسک ها، نقاط یا چرخ های لاستیکی یا سیلیکونی، برس های مویی و خمیر های پولیش یا بروساژ می تواند موثر باشد.
مهم است که از هر کدام به درستی و به ترتیب مناسب استفاده کنید تا به بهترین ظاهر و زیبایی لبخند برسید. نادیده گرفتن مراحل، ممکن است عمر مفید ترمیم را کوتاه می کند. برای درک بیشتر از دلیل جداشدن کامپوزیت دندان و دریافت خدماتی ممتاز در خصوص ترمیم و زیبایی دندان، به کلینیک فوق تخصصی دندانپزشکی Dencar مراجعه کنید.
The post دلیل جداشدن کامپوزیت دندان appeared first on کلینیک تخصصی دندانپزشکی Dencare.
from کلینیک تخصصی دندانپزشکی Dencare https://ift.tt/0GhoHXr
via IFTTT
Comments
Post a Comment