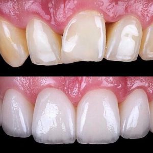
لمینت ایمکس eMax و کاربردهای آن
لمینت ایمکس ، تکه های نازکی از پوسته سرامیکی هستند که روی دندان های واقعی قرار می گیرند. آنها کمی شبیه یک ناخن مصنوعی هستند، اما بسیار قوی تر می باشند. معمولا برای بیمارانی که دندان های صافی دارند و به دنبال تغییر شکل و اندازه دندان های خود می باشند، مناسب هستند. لمینت eMax از یک بلوک سرامیکی توسط یک لابراتوار دندان ساخته شده اند. سپس آنها را با دست رنگ می کنند و به صورت جداگانه جلا می دهند تا به رنگ ایده آل شما برسند.
لمینت ایمکس چیست؟

لمینت های مختلف دندان از مواد متفاوتی تشکیل شده اند. همین امر در مورد لمینت های ایمکس نیز صدق می کند. لمینت Emax از ماده ای به نام “دی سیلیکات لیتیوم” تشکیل شده است که یک شیشه سرامیک بسیار بادوام است که در برابر شکستگی مقاوم است.
این یک لمینت دندان بسیار زیبا است و دوام آن، به این لمینتها اجازه میدهد تا در صورتی که توسط دندانپزشک زیبایی معالج شما به درستی انجام شود، تا بیش از 15 سال در دهان بیماران بدون لکه، شکستن یا افتادن ماندگاری داشته باشند.
انتخاب لمینت دندان
در نخستین مرحله، دندانپزشکان شما را معاینه خواهند کرد. اگر فشار زیادی در اثر دندان قروچه روی دندانهای شما وارد شود و دندانها به هم ساییده شوند، ممکن است باعث فرسودگی، شکستگی یا بیرون زدن لمینتها شود.این اغلب اتفاق نمیافتد، اما ممکن است برای لمینت ایمکس ، ابتدا به تنظیمات سادهای نیاز داشته باشید.
در مرحله بعد، دندانپزشک زیبایی انتظارات شما را مورد بحث قرار می دهد و اطمینان حاصل می کند که این نوع از درمان را می پسندید. طرح درمان تنها زمانی نهایی می شود که شما و دندانپزشک توافق کنید که لمینت eMax بهترین چیز برای شماست. در کلینیک فوق تخصصی دندانپزشکی Dencare می توانید خدمات زیبایی دندان و همچنین درمانی دندان را در بهترین کیفیت دریافت کنید.
ماندگاری لمینت ایمکس
لمینت های ایمکس معمولا حداقل 15 سال عمر می کنند، اگر به خوبی از آنها مراقبت شود. این شامل نخ دندان کشیدن و مسواک زدن هر روز می شود. پس از این مدت، بیماران معمولاً به دلایل زیبایی صرفاً درخواست تعویض آنها را می کنند.
تفاوت بین لمینت های E-Max
لمینت ایمکس با لومینیرز متفاوت هستند، اگرچه لومینیرها نیز به عنوان یک نوع ترمیم ونیر طبقه بندی می شوند، تنها تفاوت این است که برای لومینیرها یا لمینت های بدون آماده سازی دندانپزشک، به هیچ وجه ساختار دندان را تغییر شکل نمی دهد.
اکثر بیماران میخواهند دندانهای سفیدتری داشته باشند، بسته به اینکه دندانهای موجود شما چقدر تغییر رنگ دادهاند، لومینیر یا روکشهای بدون آمادگی، در مقایسه با لمینت eMax باید حجیمتر ساخته شوند تا تغییر رنگ دندان را پنهان کنند.
اگر دندانهای شما تغییر رنگ داده است، لومینیر توصیه نمی شود، زیرا به احتمال زیاد ضخامت 0.3 تا 0.5 میلیمتر لمینت نمیتواند رنگ سفیدتر و روشنتری را که میخواهید به شما بدهد، با این حال، اگر لمینت ایمکس را انتخاب کنید، میتوانید رنگ مورد نظر را به دست آورید.
اگر بویی از زیر دندان لومینیرز می آید، معمولاً به دلیل تراوش باکتری است و تناسب لومینیرها باید بررسی شود، پوسیدگی در ریشه دندان امکان پذیر است. التهاب لثه های پف کرده همچنین می تواند علت بوی بد دهان و بوی بد از زیر لومینیر باشد.
ماهیت لمینت ایمکس

Emax از شیشه سرامیک فشرده لیتیوم دی سیلیکات ساخته شده است. این نوع از انواع لمینت دندان نه تنها فوق العاده بادوام است، بلکه زیبایی شناسی برجسته ای نیز ارائه می دهد. خاصیت شفافیت Emax Lumineers برای تکرار ساختار طبیعی دندان شما طراحی شده است.
بنابراین، هیچ کس متوجه نمی شود که شما تحت اصلاح طرح لبخند قرار گرفته اید. لمینت eMax با دندان های موجود شما مطابقت دارد. به این ترتیب، شما به یکپارچگی یکپارچه و طبیعی لبخند خود خواهید رسید. آنها همچنین می توانند بر اساس سایه و رنگی که دوست دارید شخصی سازی شوند.
از آنجایی که آنها نیازی به تراشیدن زیاد دندان ندارند، یکپارچگی ساختار دندان را حفظ می کنند. بعلاوه، زمانی که دندانپزشک، دندان شما را آماده می کند، احساس ناراحتی نخواهید کرد. EMax Lumineers به جای مینای دندان، محکم به دندان شما می چسبد. بنابراین، دوام بیشتری دارند.
نکته مهم این است که اگر راضی نیستید، می توان لمینت ایمکس را به راحتی با تراش لمینت دندان جدا کرد. جدای از آن، کمترین آسیب به عصب دندان شما وارد می شود. این را در نظر داشته باشید که ایمکس ماده ای بسیار بادوام است و اگر درست انجام شود و بسته به اینکه چقدر از آنها مراقبت می کنید، عمر لمینت دندان بسیار طولانی خواهد بود. مزایای اتصال مستقیم به مینا، به بیمار بالاترین باند و قابلیت درمان را می دهد.
آیا لمینت ایمکس برای همه مناسب است؟
لمینت eMax برای همه مناسب نیست. به همین دلیل است که باید به دندانپزشکی مراجعه کنید تا بدانید آیا کاندیدای خوبی برای این روش هستید یا خیر. به طور کلی این روش از لیمنت ها ضخامت دندان اصلی را افزایش می دهند و ممکن است برخی افراد آن را دوست نداشته باشند.
اگر شما یک قدرت جویدن سفت دارید و یک لایه سرامیکی به داخل دندان های جلویی شما اضافه شود، ممکن است نتوانید جویدن متعادلی داشته باشید. از آنجایی که این یک روش افزایشی است، دندان ها را پهن تر می کند و برخی از بیماران این کار را دوست ندارند.
اگر کاندیدای خوبی برای لمینت ایمکس نیستید، نباید نگران باشید، زیرا دندانپزشک به شما کمک میکند تا روش ایدهآل تغییر طرح لبخند را تعیین کنید. روش پیشنهادی هر چه که باشد، بهترین نتیجه را دریافت خواهید کرد. هنگام انتخاب برای داشتن لومینیر و یا کامپوزیت دندان، دندانپزشک شما باید به شما راهنمایی کند که کدام ماده برای ونیر، لومینیر یا لمینت نازک در مورد شما انتخاب می شود و به چه دلیل؟
لمینت ها در مارک ها و مواد مختلف قابل تهیه هستند. یکی از مواد مورد استفاده Emax است، برخلاف مواد فلدسپاتیک، زیرکونیا، Procera و بسیاری دیگر از مواد سرامیکی موجود، به کار گرفته می شود. اصلاح لبخند با استفاده از لمینت eMax ، بسته به رنگ دندان های موجود، بایت موجود، زاویه دار بودن تک تک دندانها و خط لب بیمار هزینه دارد.
نازک ترین لومینیرهای ایمکس کدامند؟
ضخامت پرسلن Emax می تواند تا 0.3 میلی متر مشابه ضخامت لنز تماسی باشد، با توجه به اینکه این مواد بسیار قوی هستند. یک سرامیست متخصص می تواند ضخامت آن را به 0.3 میلی متر برساند. یکی از مزایای لمینت ایمکس این است که نیازی به تراش دندان و بیحسی ندارد، اما متأسفانه همه کاندیدای مناسبی برای آن نیستند.
بایت یا اکلوژن فرد و رنگ موجود دندان ها، 2 عامل اصلی است که می تواند تعیین کند که آیا شما کاندید مناسبی برای دریافت این لمینت ها(لمینتهای بدون تراش دندان) هستید یا خیر.
لمینت های ایمکس معمولی و لمینت های No-Prep ایمکس
لومینیرز Emax برای بیمارانی با دندانهای تیره که میخواهند دندانهای مرواریدی مات سفید داشته باشند، تجویز نمیشود. به دلیل شفافیت پرسلن ایمکس نمی تواند سایه های تیره را به خوبی پنهان کند. لمینت eMax می تواند با رنگ دندان های موجود شما مطابقت داشته باشد، اما اگر می خواهید 5 تا 7 درجه رنگ روشن تر داشته باشید، Emax Lumineers واقعا برای شما مناسب نیست.
با لمینت ایمکس معمولی شما می توانید به یکپارچگی لبخند خود برسید. همچنین، این لمینت ها می توانند بر اساس سایه و رنگی که دوست دارید شخصی سازی شوند. بیشتر رنگ آمیزی ایمکس به صورت خارجی انجام می شود، بنابراین پس از 7 سال یا بیشتر، رنگ خارجی چینی می تواند پاک شود.
مزیت بزرگ استفاده از پرسلن ایمکس برای برخی از دندانپزشکان زیبایی آگاه این است که برای ساختن و کارکرد مواد سرامیکی قوی، نیازی به تراشیدن دندان نیست. علاوه بر این، دندانپزشک، لمینت ایمکس را محکم به مینای دندان می چسباند. در صورتی که این کار با مهارت بالایی انجام شود، نتایج می تواند بیش از 20 سال دوام داشته باشد.
آیا برداشتن لمینت ایمکس آسان است؟
با توجه به استحکام لمینت های ایمکس، اگر از نتایج ایمکس موجود خود راضی نیستید، برداشتن و برش آنها برای هر دندانپزشکی بسیار سخت است و میتواند در حین برداشتن دندان، حرارت زیادی به دندان وارد کند. اکثر دندانپزشکان هزینه های بیشتری را برای بازسازی دوباره لمینت های ایمکس دریافت می کنند. زیرا زمان بسیار بیشتری طول می کشد و برای برداشتن این پرسلن سخت نیاز به تخصص دارد. اگر لمینت eMax با ساختار طبیعی دندان مخالف باشد، می تواند باعث ساییدگی شدید دندان طبیعی شما شود.
در صورتی که این لمینت ها توسط یک دندانپزشک با تجربه و متخصص انجام شود و ساخت لمینت توسط سرامیست مجرب آماده شود، دوام و هماهنگی آنها می تواند بسیار عالی باشد. این نکته را نیز باید در نظر داشت که دندان های طبیعی تک رنگ نیستند. تغییر رنگ در تمامی دندان های فرد وجود دارد. لمینت های طبیعی مانند ساختار دندان طبیعی به شفافیت نیاز دارند.
هر دو لمینت ایمکس و لومینیرز می توانند رنگ دندان های شما را بهبود بخشند و به دلیل ریزترک ها و خطوط ترک دندان ها را تقویت کنند. بایت موجود و عملکرد دندان های شما یک عامل تعیین کننده بزرگ، در تناسب این روش برای هر فرد است. به علاوه انتظار میل زیبایی شناختی نهایی شما می تواند در این خصوص موثر باشد.
مزیت لمینت ایمکس

دندانپزشکان به سادگی می توانند بر اساس تجربه، بهترین تکنیک زیبایی دندان را تشخیص داده و به شما بهترین روش را پیشنهاد دهند. لمینت ایمکس (لیتیوم دی سیلیکات) عالی و قوی هستند. اما رنگ پرسلن ایمکس روشن نیست و دارای ماهیتی شفاف تر است، درست مانند دندان های طبیعی، مگر اینکه سرامیست یک برش انجام دهد و پرسلن فلدسپاتیک را اضافه کند و رنگ را احیا نماید.
تهیه و برداشتن ساختار دندان توسط دندانپزشک نیز عامل مهمی است. هرچه ساختار دندان بیشتر برداشته شود، سرامیست بیشتر می تواند رنگ لمینت ها را سفیدتر کند، اما اگر به خاطر بیمار، دندانپزشک زیبایی بخواهد روی مینا تراش کمتری انجام شود، سرامیست فضای کمتری برای پوشاندن رنگ ها دارد.
سوالات متداول در مورد لمینت ایمکس
-
آیا لمینت های ایمکس بهترین هستند؟
لمینت ایمکس ، کیفیت و دوام بسیار خوبی داشته و در اکثر اوقات، اولویت اول بسیاری از افراد خواهد بود. اگرچه بیمارانی که به شدت دندان قروچه می کنند معمولاً با این روش زیبایی، درمان نمی شوند. اما سوالی که در حالت کلی برای اغلب افراد مطرح می شود این است که آیا لمینت های ایمکس بهترین هستند؟ به نظر می رسد برای کسانی که کاندیدای خوبی برای این نوع از لمینت هستند، روشی عالی باشد.
-
آیا لمینت های EMAX سفید باقی خواهند ماند؟
اگرچه لمینت ها در برابر لکه شدن مقاوم هستند، اما لمینت eMax هم می توانند مانند دندان های طبیعی شما لکه دار شوند. اگر روزی دو بار مسواک بزنید و نخ دندان بکشید و هر شش ماه یک بار برای معاینه و جرم گیری دندان به دندانپزشک خود مراجعه کنید، برای مدت نامحدودی سفید می مانند. مانند هر چیز دیگری در زندگی، هر چه بهتر از آن مراقبت کنید، ظاهر بهتری دارند و ماندگاری بیشتری خواهند داشت.
-
آیا لمینت های ایمکس بهتر از زیرکونیا هستند؟
نوع دیگری از مواد روکش دندان زیرکونیا نام دارد. این یک کریستال زیرلایه از عنصر زیرکونیوم است که در دندانپزشکی برای ساخت روکش های دندان استفاده می شود. اگرچه به زیبایی لمینت ایمکس نیست، اما روکش های زیرکونیا هنوز طبیعی به نظر می رسند.
آنها به اندازه همتای Emax خود دارای زیبایی نیستند، اما در صورت اصلاح ظاهر دندان ها، دوام بالایی را تحمل می کنند. این روکش ها نسبت به ایمکس در برابر شکستن دندان مقاومت بیشتری دارند و برای بیمارانی که دندان قروچه می کنند ، انتخاب خوبی هستند.
لمینت eMax ، انقلابی در دندانپزشکی زیبایی ایجاد کرده اند. روکشهای ایمکس میتوانند با ظهور رویکردهای جدید در دندانپزشکی مدرن، زندگی شما را تنها در دو بار ویزیت تغییر دهند. می توانید به کلینیک فوق تخصصی دندانپزشکی Dencare مراجعه کنید تا مشاوره زیبایی خود را دریافت نمایید.
The post لمینت ایمکس eMax و کاربردهای آن appeared first on کلینیک تخصصی دندانپزشکی Dencare.
from کلینیک تخصصی دندانپزشکی Dencare https://ift.tt/d2WfIwk
via IFTTT
Comments
Post a Comment