ترک دندان همه آنچه باید بدانید
دندان های شما قادرند برای تمام عمر دوام داشته باشند. دندان ها عضو بسیار حساسی هستند که با مراقبت دقیق و همیشگی می توانیم عمر آنها را افزایش دهیم. اما دندان هایی که استرس و فشار زیادی را در طول عمر تحمل می کنند گاهی اوقات بعلت ترک دندان دچار آسیب می شوند.

انواع ترک دندان
ترک دندان و شکستگی ها انواع متفاوتی دارند. ترک دندان ها یا شکستگی دندان ها با توجه به قسمت آسیب دیده به چند دسته تقسیم می شوند که این دسته بندی به شرح زیر می باشد:
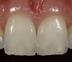
ترک های مویی در دندان یا کریزلاین ها

ترک های مویی در دندان یا کریز لاین ها، به خطوط عمودی زرد و سفید رنگ گفته میشود که در مینای خارجی دندان هستند و معمولاً دردندان های جلویی بزرگسالان دیده می شود. آنها بسیار کم عمق و بدون درد هستند و معمولاً هیچ مشکلی ایجاد نمی کنند. خطوط کریز بیشتر یک موضوع زیبایی دندان هست و بسته به اندازه ترک دندان ،ممکن است لکه و پلاک را جمع کنند.
علل ایجاد ترک های مویی در دندان
- ساییده شدن دندان ها به مرور زمان(ترک دندان در اثر فشار دادن دندان در طولانی مدت)
- دندان قروچه
- سندروم کریز لاین
- خوردن مواد خوراکی سرد و گرم بدون فاصله زمانی
- خوردن غذاهای سفت مانند(مغز ذرت بو داده یا جویدن یخ)
- استفاده از دندان به عنوان ابزار(جویدن ناخن و…)
درمان های ترک های مویی یا کریزلاین ها

جهت ترک دندان مویی درمان معمولاً مورد نیاز نیست. بنابراین یکی از گزینهها این است که آن را به حال خود رها کنید. اگر از نظر زیبایی آزاردهنده است، میتوانیدترمیم زیبایی انجام دهید. خطوط ترک دندان را نمی توان به طور کامل از بین برد، بنابراین دندانپزشک ممکن است یک روکش (یک ماده کامپوزیت دندان که روی سطح دندان را می پوشاند) انجام دهد.
در مواردی که یک تکه از دندان جلو کنده شده باشد و نیاز به زیبایی و مقاومت بیشتر باشد لمینت دندان گزینه خوبی برای درمان است.
شکستگی کاسپ
شکستگی کاسپ زمانی اتفاق می افتد که ترک دندان از طریق وارد کردن نیروی طولانی مدت و بیش از حد به دندان یا پوسیدگی دندان شدید اتفاق می افتد. نیروهای معمولی که باعث شکستگی کاسپ می شوند:
- ساییدن دندان
- فشردن همیشگی دندان
- ضربه
- پرکردن دندان نا موفق
- گاز گرفتن غذاهای سفت
درمان شکستگی کاسپ
درمان شکستگی کاسپ ها معمولاً روکشی است که هدف آن پوشاندن و محافظت از دندان است. بسته به میزان شکستگی دندان ممکن است در برخی موارد پرکردن دندان توصیه شود. اگر شکستگی در عمق دندان باشد، ریشه دندان به ترمیم دندان کمک می کند. اگرشکستگی زود تشخیص داده شود، قبل از شکستن دندان ، ممکن است یک انله روی کاسپ ترک خورده قرار گیرد.
روند ترک خوردن دندان
ترک خوردن دندان از سطح جویدنی دندان منشأ می گیرد و به صورت عمودی به سمت ریشه دندان کشیده می شود. هنگامی که مینای دندان ترک می خورد، باعث می شود ترک دندان بیشتر شود و ناحیه پالپ تحریک شود.
در نهایت آسیب کافی به پالپ وارد می شود تاجایی که دندان نمی تواند بهبود یابد، که منجر به دندان درد می شود. این درد می تواند از حساسیت دندان با دمای شدید یا درد دندان هنگام جویدن باشد یا اینکه فرد را از درد مداوم ،شب از خواب بیدار کند. یک دندان ترک خورده بیشتر روی سطح جونده متمرکز است.
از آنجایی که ترک دندان به سمت ریشه پیش می رود، احتمال عفونت ریشه (بیماری ریشه دندان) بیشتر می گردد که ناچار به عصب کشی دندان می شویم.
تکه شدن دندان(دو نیم شدن دندان)
تکه شدن دندان نتیجه نهایی یک دندان ترک خورده ناقص درمان شده است. ترک دندان از بالای آن تا زیر لثه گسترش پیدا می کند. این حالت به طورناگهانی ممکن است ازگسترش طولانی مدت یک ترک بخش های دندان کاملا از هم جدا و حتی دندان لق شود.
این مشکل می تواند ناشی از عادات مضر زیر بوجود آیند:
- ساییدن
- فشردن
- جویدن یخ
- جویدن اشیا
- خوردن غذای سفت
اگر دندان قابل نگه داشتن باشد، درمان توصیه شده درمان ریشه و روکش دندان است. اگر دندان قابل نگه داشتن نباشد، درمان آن کشیدن و جایگزینی با ایمپلنت دندان است.
شکستگی عمودی دندان

شکستگی عمودی دندان از ریشه دندان منشأ می گیرد و تا سطح جونده گسترش می یابد. عمدتا همه ترک های عمودی دندان با سوابق درمان های ریشه دندان همراه هستند که روکش دندان عصب کشی شده انجام نداده اند. ترک دندان ممکن است قسمتی از ریشه یا تمام طول ریشه را در معرض خطر قرار دهد. این شکستگی معمولاً زمانی کشف می شود که استخوان و بافت عفونی می شوند. این شکستگی در واقع با رادیوگرافی قابل تشخیص است۰
راه های پیشگیری از ترک خوردگی دندان
می دانیم که پیشگیری بهتر از درمان است، بنابراین باید با رعایت نکات زیر از ترک و آسیب دندان ها جلوگیری کنیم تا به این ترتیب علاوه برصرفه جویی در هزینه، عمر دندانها را افزایش دهیم. به هر حال یک دندان ترمیم شده هرگز مانند حالت طبیعی مستحکم نخواهد بود. راه های پیشگیری از ترک خوردگی که توصیه می شوند عبارتند از:
- از دندان خود به عنوان ابزار استفاده نکنید.
- از نوشیدن مایعات سرد و گرم بلافاصله بعد از هم اجتناب کنید.
- چنانچه به ورزشهای رزمی مشغول هستید از محافظ دندانی استفاده کنید.
- دندان قروچه را درمان کنید یا در هنگام خواب از محافظهای مخصوص دندان قروچه کمک بگیرید.
- درتمام سنین به میزان کافی لبنیات مصرف کنید.
The post ترک دندان همه آنچه باید بدانید appeared first on کلینیک تخصصی دندانپزشکی Dencare.
from کلینیک تخصصی دندانپزشکی Dencare https://ift.tt/vGRfEjd
via IFTTT


Comments
Post a Comment